Tema 26 - Fijaciones externas e Internas - /
Clase del / Presentación
CLASE 2 FIJACIONES EXTERNAS E INTERNAS 2025-2026
FIJACIONES INTERNAS
26/11/2024
Fijadores externos
COMPONENTES
- Clavos de fijación.
- Barras conectoras.
- Abrazaderas.
CLAVOS ROSCADOS — CLAVOS LISOS
Abrazaderas de KIRSCHNER
Abrazaderas tipo MEYNARD
TIPOS
Tipo IA
Unilateral-Uniplanar
Tipo IB
Unilateral-Biplanar
Tipo IIA
Bilateral-Uniplanar
Tipo III
Bilateral-biplanar (En enlace)
Tipo IIB
Bilateral-Uniplanar con clavos de hemifijación
INDICACIONES
- Fracturas estables e inestables:
- Diafisarias
- Altamente conminutas
- Fracturas mandibulares
- Fracturas abiertas o infectadas
- Fracturas por disparo
- Osteotomías correctoras.
- Uniones retrasadas y no uniones.
- Fijación auxiliar.
- Inmovilización transarticular:
- Artrodesis.
- Tras reconstrucción de algunos ligamentos o tendones.
CONTRAINDICACIONES
- Fijación única con solo una barra en el fémur y en el húmero.
- Fijación única en situaciones en las que se requiere reducción anatómica.

Clavos intramedulares — Alambres ortopédicos — Placas y tornillos — Agujas cruzadas
CLAVOS Y AGUJAS
Se diferencian en el diámetro:
- Agujas de Kirschner: 0,6 mm a 3 mm
- Clavos de Steinmann: a partir de 3,5 mm
Ventajas
- Más barato que las placas.
- Menor traumatismo.
- Menor daño vascular. No interfiere vascularización perióstica.
- Efecto mínimo sobre flujo medular si no cubre completamente la cavidad. 65% aprox ocupa
- Mayor cicatrización – Consolidación fácil.
- Poco equipo especial o entrenamiento necesario.
- Rápidos y fáciles de insertar y retirar.
- Resisten bien las fuerzas de flexión.
Inconvenientes
- Resisten poco la rotación (fasciculadas aguantan mejor), distracción y cizallamiento.
- Raramente proporcionan estabilidad por sí solos.
- Fijaciones auxiliares:
- Alambre de cerclaje o interfragmentario.
- Fijación esquelética externa.
- Clavos en grupo.
- Tornillos compresión (espacio limitado).
- Pueden permitir la diseminación de bacterias a lo largo del canal medular en fracturas abiertas.
- Retorno a la función más lento.
- Cuidados postoperatorios mayores.
Inserción normógrada
Inserción retrógrada
INDICACIONES
Fracturas diafisarias estables de huesos rectos sin tendencia al acortamiento o rotación axial:
- Transversas y oblicuas cortas si están interdigitalizadas, estables, reducibles en animales con buen potencial de cicatrización. (Usar implantes auxiliares si es necesario)
- Espirales u oblicuas largas reducibles con cerclajes.
- Animales de esqueleto inmaduro.
- Fracturas metacarpianas y metatarsianas.
- Gatos.
CONTRAINDICACIONES
- Fracturas irreducibles con rotación, distracción o cizallamiento importante.
- Abiertas o infectadas.
- Metafisarias o articulares.
- Si no puede insertarse con seguridad (ej.: radio).
- Fracturas por avulsión.
Alambres ortopédicos
Acero monofilamento (0,8–1,2 mm)
Se aprieta para ofrecer compresión interfragmentaria estática sobre los fragmentos del hueso.
TIPOS
- Cerclaje
- Hemicerclaje
- Banda de tensión
Cerclaje
Hemicerclaje
- No rodea completamente el hueso
- Se introduce a través de un túnel óseo
BANDA DE TENSIÓN
Montaje no elástico que se coloca en un lugar que puede sufrir tensión.
Convierte la fuerza de tensión en compresión.
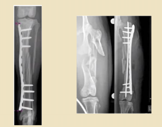
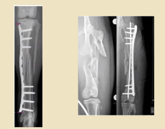
PLACAS Y TORNILLOS
Ventajas
- Posible reconstrucción anatómica de la fractura.
- Posible consolidación sin o con poca formación de callo externo.
- Resisten bien la mayoría de las fuerzas.
- Movilidad temprana sin dolor.
- Previene la enfermedad de la fractura.
Desventajas
- Equipo especialista y entrenamiento necesarios.
- Exposición amplia del hueso.
- Gran cuerpo extraño insertado en la fractura.
- Alta inversión en materiales.
TIPOS DE PLACAS
- Placas de compresión dinámica (DCP)
- Placas de reconstrucción
- Placa cortable veterinaria
- Placas LC-DCP (contacto limitado)
- Placas bloqueadas
Tipos de tornillos
- Tornillo para cortical
- Tornillo de bloqueo
- Tornillo para esponjosa
Pasos para colocar un tornillo que sujeta la placa al hueso sin atravesar el foco de fractura
(No hay compresión interfragmentaria.) 1º — 2º — 3º — 4º
COMPRESIÓN INTERFRAGMENTARIA
Con tornillos de tracción (efecto LAG)
- La cabeza del tornillo se apoya en la primera corteza.
- No se labra rosca en la corteza proximal.
- Las roscas ocupan solo la segunda corteza.
- Al apretar → compresión interfragmentaria.
Con placas
- Compresión axial.
PLACA DE COMPRESIÓN DINÁMICA (DCP)
- Agujeros placa neutralización
- Guía centrada
- Guía excéntrica
- Compresión axial
- Compresión axial mínima
INDICACIONES PARA EL USO DE TORNILLOS
Fijación primaria
- Fracturas metafisarias o articulares.
- Nunca fijación primaria en diáfisis.
- Ej.: fracturas de cóndilos humerales (solo casos muy concretos).
Soporte y fijación auxiliar
- En fracturas largas oblicuas, espirales o múltiples.
- Si fragmentos reconstruibles → permitir reconstrucción anatómica.
- Fijación final puede ser placa de neutralización.
- Tornillos pueden insertarse con efecto tracción.
FUNCIONES DE LAS PLACAS ÓSEAS
- Compresión interfragmentaria
- Neutralización
- Sostén (refuerzo o puente)
INDICACIONES GENERALES PARA CIRUGÍA CON PLACAS
- Fracturas con fragmentos reconstruibles.
- Fracturas que requieren reconstrucción anatómica y escasa formación de callo.
- Fracturas que requieren compresión.
- Artrodesis.
- Placa puente en fracturas no reconstruibles.
INDICACIONES PARA PLACAS DE NEUTRALIZACIÓN
- Osteotomías o fracturas reconstruibles con tornillos de tracción o cerclajes.
- Colocada en el lado en tensión para neutralizar torsión, doblamiento, compresión o distracción.
INDICACIONES PARA PLACAS DE COMPRESIÓN
- Fracturas transversas u oblicuas cortas.
- Osteotomías y artrodesis.
- La placa queda en tensión y los fragmentos en compresión.
- Colocación en el lado bajo mayor tensión:
- Lateral del fémur
- Medial o craneal de la tibia
- Craneal o lateral del húmero
- Craneomedial o craneal del radio
INDICACIONES PARA PLACAS BLOQUEADAS
- Tornillo bloqueado no comprime el periostio → conserva vascularización.
- Útil en fracturas conminutas y huesos osteoporóticos.
- Agujero combinado permite compresión + bloqueo.
VELOCIDAD DE UNIÓN CLÍNICA (según edad)
| Edad | Fijación externa / clavos IM | Fijación con placa |
|---|---|---|
| < 3 meses | 2–3 semanas | 4 semanas |
| 3–6 meses | 4–6 semanas | 2–3 meses |
| 6–12 meses | 5–8 semanas | 3–4 meses |
| > 1 año | 7–12 semanas | 4–8 meses |
Capacidad de varios implantes para neutralizar fuerzas
| Implante | Rotación | Flexión | Deslizamiento | Aposición |
|---|---|---|---|---|
| Clavo IM simple | – | + | – | – |
| Clavos IM múltiples | + | + | – | – |
| Placa ósea | + | + | + | + |
| Fijador externo | + | + | + | – |
| Cerclaje | * | * | * | + |
| Tornillo compresión | * | * | * | + |
(*) Cerclajes y tornillos = auxiliares, no vencen fuerzas principales.
Fuerzas básicas en fracturas
- A: Rotación
- B: Flexión
- C: Deslizamiento angular
- D: Deslizamiento horizontal
- E: Aposición de fragmentos
COMPLICACIONES DE LA OSIFICACIÓN
- No unión o retraso de la unión
- Pseudoarticulaciones
- Mala unión
- Consolidación anormal
- Alteraciones en el crecimiento
- Afecciones de las líneas fisarias
- Enfermedad de la fractura
- Osteoporosis, anquilosis, atrofia muscular





































No comments to display
No comments to display