Temas 3 y 4 - Daño celular, muerte y necrosis - 15/09
Clase del 15/09 por Cristina Acín Presentación
Causas y mecanismos de daño y muerte celular:
- Daño celular reversible agudo: tumefacción celular
- Daño celular irreversible: apoptosis y necrosis
Adaptación y daño celular: Las celula normales estan en homeostasis y pueden sufrir stress o estimulos patógenos a los que se pueden adaptar.
La adaptación celular son los cambios celulares que se producen como respuesta a condiciones ambientales adversas, que llevan a la celula a un estado diferente pero estable que preseva su viabilidad y, en lo posible, su función.
Se produce daño celulares cuando se sobrepasa los limites de respuesta celulares llevando a daño celular
El daño celular puede ser:
- Reversible -> cambios morfológicos y funcionales temporales
- Irreversible -> cambios morfológicos y funcionales permanentes -> muerte ceular
Muerte celular
- Apoptosis o muerte celular programada
- Necrosis o muerte celular accidental
La apoptosis - Autodestrucción celular programada.
Se activa y regula mediante reacciones enzimaticas en cadena, este proceso es rapido, entre 2 y 4 horas.
Microscópicamente:
- Retracción celular
- Cromatina condensada (picnosis)
- Membrana celular conservada
- Formación de cuerpos apoptoticos con organulos no alterados
- Fagocitosis de cuerpos apoptoticos
- Nula o minima reacción inflamatoria
Causas fisiológicas:
- Diferenciación celular en el desarrollo embrionario
- Renovación de celulas de vida corta (epitelio intestinal)
- Involución fisiologica: (ciclica como en el ovario/mama, son hormono dependientes o por edad como el timo)
- Muerte de celulas que han cumplido su función (neutrofilos, linfocitos)
- Muerte celular inducida por linfocitos t citotoxicos
Causas patológicas: Agentes exógenos:
- Radicales libres, toxinas
- Radiaciones: uva/ionizantes
- Virus
Agentes endógenos
- Oncogenes
- Mediadores químicos de la inflamación
- Linfocitos T y Nk
Necrosis o muerte celular accidental
Tipos:
- Necrosis por coagulación
- Necrosis caseosa o por caseificación
- Necrosis por liquificación
- Necrosis gangrenosa
- Necrosis de la grasa
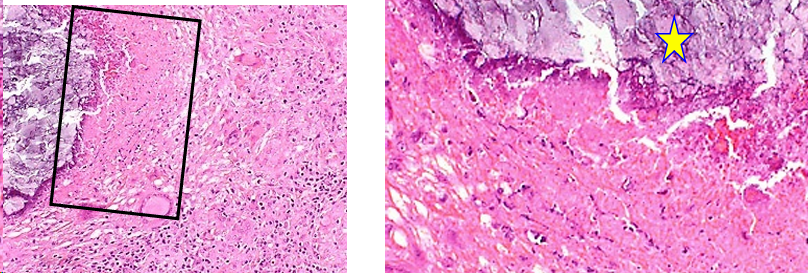
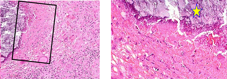
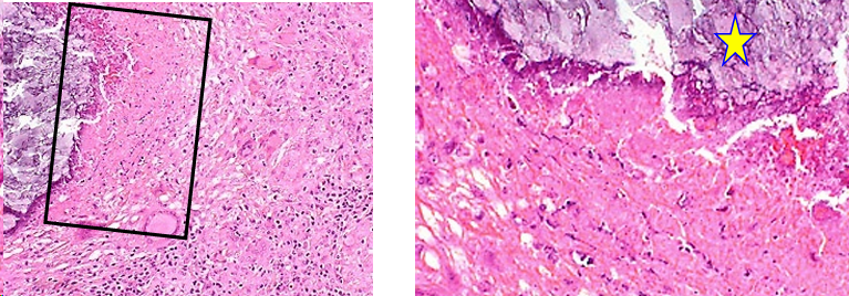
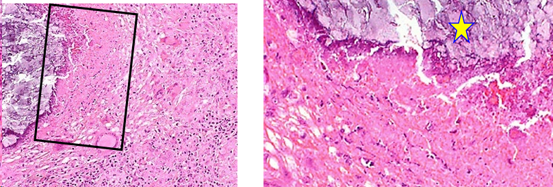
Necrosis por coagulación
- Mas frecuente.
- En tejidos parenquimatosos (los que tienen celulas especiales, es decir: higado, riñon, pulmon, pancreas, bazo...)
- Lesion aguda (instauración rapida)
- Etiologia:
- Isquemia (se reduce o interrumpe el flujo sangineo) local por embolia, shock o espasmos vasculares
- Toxinas bacterianas y fungicas
- Toxicos químicos
- Fisicas (frio o calor)
Aspecto macroscópico
- Areas afectadas palidas y secas
- Consistencia firme, fragil y quebradiza
- zona necrotica bien delimitada
- hiperemia (mayor flujo sanguineo) a y hemorragias alrededor de la necrosis
Aspecto microscópico:
- Estructura histologica consevada (imagen fantasma)
- Limites celulares conservados
- Citoplasma homogeneo y eosinofilo
- Nucleos con diferentes patrones dependiendo de la lesion:
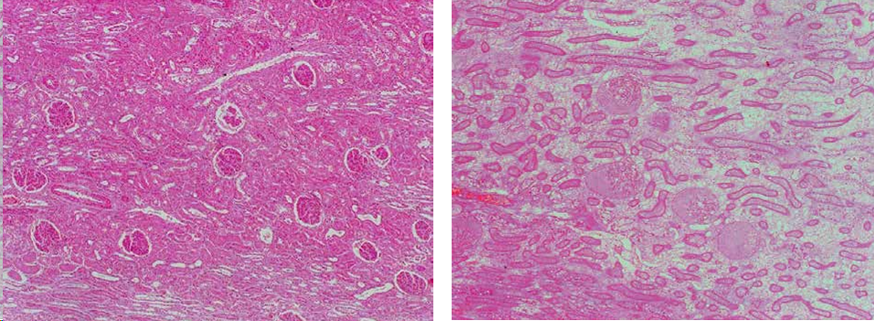
Necrosis caseosa o por caseificación
- Cronica
- Enzimas celulares -> destrucción bacterianas de las celulas normales -> degradación de las membranas liberan lipidos complejos imposibles de digerir
- Etiologia:
- Microorganismos de dificil eliminación como los que producen la tuberculosis, pseudotuberculosis, yersiniosis, aspergilosis
- Tumores de crecimiento rapido
Aspecto macroscopico:
- Color blanco-grisaceo o amarillento
- Consistencia pastosa o grumosa y quebradiza
- Delimitación: Zona de inflamación y capsula conjuntiva
- En linfonodos, higado, riñon
Aspecto microscópico:
- Perdida de la estructura histologica y limites celulares -> restos celulares -> calcificacion
- Masa necrotica delimitada por reaccion inflamatoria
- capsula


Necrosis por licuefacción
- Lesion aguda, rapida
- Tejidos afectados:
- Organos parenquimatosos riquidos en lipidos como el sistema nervioso central
- Ricos en enzimas liticas como el pancreas
- Mayor cantidad de enzimas y abcesos
- La patogenia es que el agente causal produce la muerte celular que libera las enzimas liticas que disuelven enzimaticamente el tejido
Aspecto macroscopico:
Aspecto microscopico:
- Espacios o cavidades
- Vacios o con material rosa palido homogeneo con restos celulares
Necrosis gangrenosa:
Muerte de un territorio organico debida a la falta de flujo sanguineo dibido a una infección. Se diferencia de la necrosis por coagulación en que esta preserva la arquitectura tisular y generalmente es mas prolongada que esta.
Tipos de necrosis
- Gangrena seca o momificación
- Gangrena humeda
- Gangrena gaseosa
Gangrena seca:
Deshidratación y retracción progresiva (momificacion) de una zona de necrosis isquemica (falta de irrigación sanguinea) de instauracion lenta. Pasa en patas, orejas, cordon umbilical y fetos.
La etiopatogenia: -> Congelación -> Cristales -> Ruptura membrana -> Lesion capilar -> isquemia -> Necrosis
- Alcaloides de plantas/hongos (centeno)
- Vasoconstriccion arteriolar > LEsion capilar > trombosis > inferto
- Bacterias > lesion capilar > isquemia > necrosis > abortos
Aspecto macroscopico:
- Color mas oscuro
- Tamaño menor al retraerse
- Olor normal
- Delimitación nitida
- Consistencia firme seca y fragil

Gangrena humeda:
Un tejido que previamente ha sufrido una necrosiss es invadido por bacterias saprofitas -> putrefacción de la zona necrosada. Ocurre en piel, mama, boca, intestino y organos con contacto con el exterior como pulmon, utero...
La etiopatogenia es necrosis + bacterias saprofitas = putrefacción
Aspecto macroscopico:
- Cosistencia blanda, pastosa, unctuosa
- Color oscuro en la periferi
- Delimitacion incompleta
- Olor fetido o putrefacto.
Gangrena gaseosa:
Tejido que previamente ha sufrido una necrosis es invadido por bacterias anaerobias productoras de gas (Clostridium). Afecta a tejido subcutaneo y musculos
Etiopatogenia: Heridas punzantes (necrosis por coagulación) + Clostridium = multiplicación > producción de gas > Gangrena gaseosa
Aspecto macroscopico:
- Tejido rojo o negruzco
- Exudado sanguinolento
- Burbujas de gas
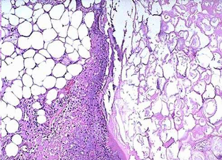
Necrosis grasa:
Necrosis de adipocitos que liberan grasas neutras acumuladas en su citoplasma y que posteriormente se unen a iones Na, K o Ca, ocurre la saponificacion.
Aspecto macroscopico:
- Color blanquecino opaco
- Crepita al tocarlo.
- Solidas o finamente granuladas
- Firmes, secas, calcareas
- ¿Burbujas?

Aspecto microscopico:
- Adipocitos límites irregulares
- Núcleos picnóticos (condensados)
- Citoplasma opaco y eosinófilo
- Reacción inflamatoria periférica
Tipos, localización y causas:
-
Necrosis enzimatica o pancreatica Pancreatitis -> liberacion de lipasas > Grasa abdominal > necrosis Frecuente en cerdos y perros en mesenterio y epiplon
-
Necrosis traumatica Traumatismos mecanicos > necrosis grasa En la grasa del esternon y mama de bovino
-
Enfermedad de la grasa amarilla. Origen dietetico, elevado consumo de acidos grasos insaturados y deficiencia de vitamina E Bovinos, cerdos, perros, gatos Necrosis de la grasa abdominal
Evolución de la necrosis:
- Reabsorción: En pequeñas necrosis, celulas labiles o estables. Pasa al torrente sanguineo y linfatico donde se fagocita y se regeneran celulas identicas.
- Organización: Necrosis grandes y/o celulas permanentes, reabsorción total del material necrotico pero la sustitución no es por tejido identico sino fibroso
- Demarcación o encapsulación: necrosis de grandes dimensiones, reabsorción parcial y sustitución parcial por tejido conjuntivo, se forma una capsula fibrosa alrededor (secuestro)
- Replandecimiento: enzimas liticas reblandecen el tejido necrotico.
- Calcificación: depositos de sales de calcio de tejido necrotico, calcificacion distrofica
















No comments to display
No comments to display