Tema 7 - Depositos patológitos proteicos 18/09-22/09
Clase del 18/09 dada por Cristina Acín Presentación
Depositos anormales de proteina, se coagulan, pierden la funcion Importante reconocer la coagulación de la proteina y que cuando esta extracelular es muy severa
Depositos de:
- Hialina o hialinosos
- Amiloide o Amiloidosis
- Fibrinoide
- Patologicos de Acido Urico
- Patológicos de Keratina
Depositos de Hialina, Hialinosis
La hialina es material proteico, eosinofilo, amorfo, homogeneo y refringente Clasificación de hialinosis segun la localización: Intracelular:
- Hialinosis muscular (degeneracion hialina de zenker)
- Cuerpos de Rusell
- Gotas hialis
Hialinosis muscular:
- Transformación sarcoplasmatica -> hialina
Etiologia / Presentación:
- Enfermedad del musculo blanco por falta de selenio y vitamina E
- Rabdomiolisis por ejercicio o por esfuerzo
Macroscopicamente ''Carne cocinada'', blanquecina y sin tanto brillo
Microscopicamente:
- Cuerpos de rusell - Inmunomediados - Inmunoglobulinas dentro de las celulas plasmaticas (dificil de ver)
- Falta de estriacion
- Esferas mas teñidas
Gotas hialinas TCP renales Etiopatogenias: Lesion glomerular -> Proteinuria -> Resorcion en TCP (inutil) Aspecto microscopico:
- Celulas de mayor tamaño y esferas de hialina
- Comun en leismaniosis
- Cilindros hialinos, ya fuera de las celulas -> Proteinuria (Un problema muy grande)
Cuerpos amilaceos
- Esferas hialinas con o sin laminacion concentricas
- Se originan en concreciones y exudados (semen, leche)
- En mamas, testiculos...
Membranas hialinas:
- Se ve como areas eosinofilas
- Por union de proteinas plasmaticas con liquido surfactante pulmonar
- Se ve como neumonias viricas, parasitarias...
Hialosis arteriolar (Animales viejos, sobretodo perros tras el parto)
- Se sustituye las capas de la arteriola con hialina
Hialinosis del tejido conjuntivo
- Masas amorfas y eosinofilas
- Cicatrices, queloides, ligamentos, valvulas
Amiloidosis
Proceso cronico, sometimiento a gran cantidad de antigenos que se acumulan en organos y tejidos. Amiloide: Material proteico, amorfo eosinofilo, extracelular e insoluble Los compuestos antigeno-anticuerpo pasan por la sangre y se acumulan en los capilares (sobre todo los fenestrados) ya que los macrofagos no son capaces de fagocitarlos. Sobre todo en riñon y en el ojo (a veces en conjuntivo).
El amiloide tienen plegamiento en beta que se digieren pero que las alfas. General extracelular y eosinofilo.
Ejemplo: Leismania
Aspecto macroscopico (Higado, bazo, riñon, encefalo)
- Jaspeado o punteado amarillento o grisaceodando consistencia firme y nefromegalia.
- Profundiza en la cortical, no solo superficial Aspecto microscopico del amiloide
- Amiloide en los capilares fenestrado. Para confirmar hace falta hacer la tecnica de Rojo Congo, tambien se puede ver con luz polarizada junto al rojo se ve birrefringente
Pagina 22 - 22/09 dada por Cristina Acin
REPASO:
Amiloidosis
Deposito de amiloide en diferentes organos (no se puede metabolizar, generalmente se deposita en riñon, a veces en ojos. Pasa por los capilares fenestrados). La leismania puede causar amiloidosis
El amiloide es material proteico, amorfo, eosinofilo, extracelular. Plegamiento Beta.
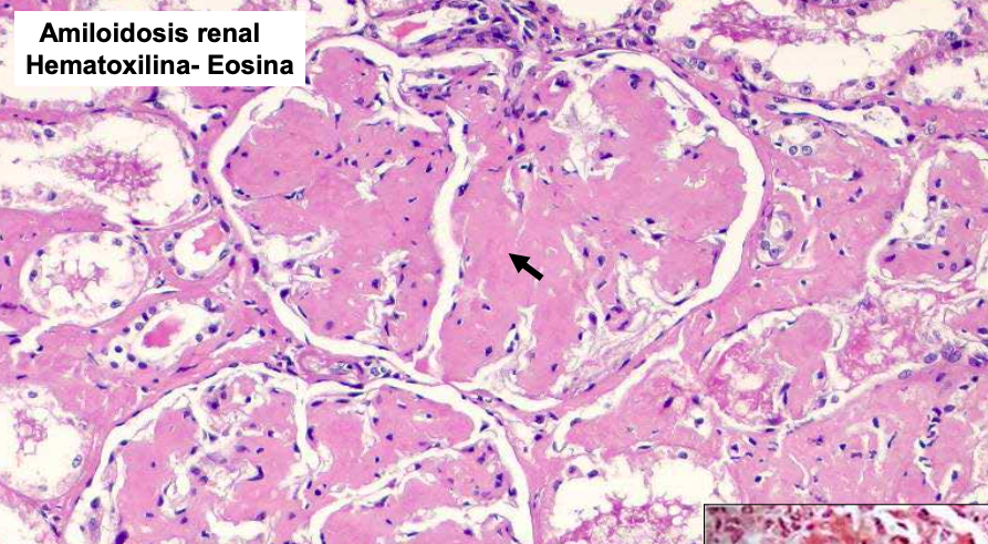
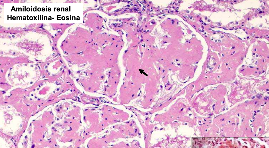
Amiloidosis renal:
Macroscopicamente se ve un riñon firme (NO FRIABLE), de mayor tamaño y con manchas grisaceas jaspeadas
Aspecto microscopico del amiloide Eosiinofilo, eosinofilo homogeneo refringente. En el rojo congo se ve rojo, con luz polarizada encima se ve birrefringente
Al llenarse el espacio del glomerulo con amiloide se pierde la funcionlidad del riñon.
Puede ser causado, por ejemplo, por una necrosis gangrenosa que cause la creación de un gran numero de anticuerpos, tras la creación del complejo se degradará y los amiloides se acaban depositando
Amiloidosis hepatica:
Aspecto visual similar al riñon pero sin moteado. Muy inflado
Amiloidosis en bazo
Aspecto macroscopico: Focos de 1-2 mm brillantes, grisaceos que se localizan en los foliculos linfoides (En la pulpa blanca). Se denomina bazo ajamonado porque en la pulpa blanca dejando lineas rojiceas. También se le llama bazo en Sagú
Depositos de fibrinoide o necrosis fibrinoide. Siempre relacionado con inflamación y problemas inmunes Se deposita en arterias y arteriolas. Depositos de fibrinogeno, inmunoglobulinas, complemento... Razones inmunes
Se deposita en la zona muscular de la arteria/arteriola
Transtornos metabolicos de nucleoproteinas - La gota Urica Los reptiles, aves, humanos y en el dalmata no tienen la uricasa que se deshace del acido urico.
Causas:
- Por una destrucción masiva de celulas propias
- Dietas hiperproteicas
- Falta de vitamina A
- Leucemia, leismania
Forma visceral: Mas comun, se localiza en pericardio, capsula y parenquima hepatica y renal. Se ve como depositos blancos secos. Como yeso, al cortar crepita
Forma articular: En metatarso y metacarpos
Infarto urico: MUY COMUN EN LECHONES RECIEN NACIDOS PORQUE LA ENZIMA URICASA ES DEFICIENTE Urato amonico en riñon, en la zona medular formando estrias radiales, tiene forma de abanico y color blanco
Depositos patológicos de queratina Se localiza en piel, pelos, plumas, cuernos, uñas, pezuñas, proventriculos de los rumiantes...
Hiperqueratosis y paraqueratosis* lo mas comun en veterinaria
Hiperqueratosis
Se presenta como: Dermatitis, papilomas o verrugas, callosidades, carencia de vitamina A, moquillo/leishmaniosis
Se ve macroscopicamente como una epidermis gruesa, dura, rigida y quebradiza. Piel costrosa y carencia de pelo.
Paraqueratosis (Importante) - Queratinizaciíon rapida o hiperqueratosis atipica.
Puede afectar en la piel en todas las especies pero especialmente importante en el rumen, en este caso está causado por la dieta. Bien por carencia de vitamina A, pienso hiperproteico o pienso demasiado molido.
Macroscopicamente el rumen en vez de ser amarillento es negro. ENTRA EN EXAMEN
Metaplasia escamosa O leucoplasia
Son lesiones precancerosas, Leucoplasia significa placa blanca, ocurre en la mucosa oral
Aspecto macroscopico: Areas blancas, planas y asperas.
Causas:
- Carencia de vitamina A (Aves)
-
- Leucoplasia de las glandulas de la faringe
























No comments to display
No comments to display