Tema 13 a 15 - Embolia, Anemia, Isquemia e Infarto - 20/10
Clase del 20/10 Presentación
Temas 13, 14 y 15 — Embolia, Anemia, Isquemia e Infarto
Trastornos circulatorios o disciclias
Clasificación
Trastornos locales de la circulación
- Hiperemia y congestión
- Edema
- Hemorragia
- Trombosis y CID
- Embolia
- Anemia, isquemia e infarto
- Trastornos de la circulación linfática
Trastornos generales de la circulación
- Dilatación cardíaca
- Hipertrofia cardíaca
- Shock
Tema 13 — Embolia
Conceptos
- Émbolo: masa sólida, líquida o gaseosa no disuelta en la sangre y transportada por ella, cuya presencia es patológica.
- Embolia: detención brusca de un émbolo en cualquier punto del sistema vascular.
| Concepto | Trombo 🧱 | Émbolo 🚀 | Embolia 💥 |
|---|---|---|---|
| Definición | Coágulo de sangre que se forma y permanece en un vaso. | Cuerpo extraño (puede ser un trombo, aire, grasa, etc.) que viaja por el torrente sanguíneo. | Obstrucción de un vaso sanguíneo causada por un émbolo. |
| Origen | Se forma localmente en el vaso afectado. | Se origina en otro lugar y se desplaza. | Es el resultado del émbolo al quedar atrapado en un vaso. |
| Movimiento | No se mueve; permanece fijo. | Se desplaza por el sistema circulatorio. | No es una estructura, sino el evento de obstrucción. |
| Composición | Sangre coagulada (plaquetas, fibrina). | Trombo desprendido, grasa, aire, líquido amniótico, etc. | Puede deberse a cualquier tipo de émbolo. |
| Ejemplo clínico | Trombosis venosa profunda. | Émbolo graso tras fractura ósea. | Embolia pulmonar por émbolo trombótico. |
Clasificación
1. En función del vaso afectado
- Embolia arterial: el émbolo se produce o penetra en arterias o en el corazón izquierdo → embolia en órganos de la circulación mayor (encéfalo, bazo, riñón, corazón…).
- Embolia venosa: el émbolo se produce o penetra en venas o en el corazón derecho → embolia pulmonar.
2. En función de su etiología
a) Tromboembolia
- Trombos o fragmentos de trombos desprendidos.
b) Embolia parasitaria
- Filarias: en ramas de la arteria pulmonar (perro).
- Estróngilos: en arterias mesentéricas e ilíacas (caballo).

c) Embolia neoplásica
- Acúmulos de células neoplásicas malignas.
- Más frecuentes en vasos linfáticos.
- Vía utilizada por las células neoplásicas para producir metástasis.
d) Embolia celular (células no sanguíneas)
- Cuerpos extraños: ejemplos → hepatocitos, megacariocitos, líquido amniótico.
e) Embolia bacteriana
- Acúmulos de bacterias procedentes de:
- Abscesos rotos (especialmente hepáticos).
- Trombos valvulares infectados (Mal rojo, estreptococos).
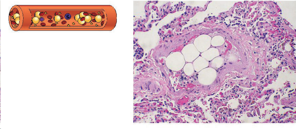
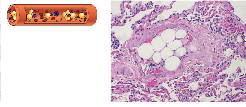
f) Embolia grasa
-
Gotas de grasa originadas por:
- Traumatismos intensos en tejido adiposo o mama.
- Inyección de sustancias oleosas.
- Fracturas de huesos grandes (grasa de médula ósea).
g) Embolia gaseosa
- Muy rara en animales.
- Burbujas de aire u otros gases (como nitrógeno).
- Producidas por:
- Traumatismos pulmonares (cornadas).
- Neumotórax.
Consecuencias de las embolias
Embolias mecánicas o asépticas → Isquemia
- Órganos con circulación única: riñón, bazo, miocardio y cerebro → infarto.
- Órganos con circulación única + colateral: intestino y músculos esqueléticos → infarto menos frecuente, atrofia o degeneración.
- Órganos con circulación doble: infarto raro → pulmón (bronquial/pulmonar), hígado (hepática/porta).
Embolias específicas o biológicas
- Además de la obstrucción mecánica, se produce diseminación del proceso (bacterias, parásitos, neoplasias).
Tema 14 — Anemia, Isquemia e Infarto
Isquemia o anemia local
Conceptos
- Flujo insuficiente de sangre arterial en un tejido u órgano.
- Causas:
- Obstrucción arterial: trombos, lesiones de la túnica íntima.
- Compresión arterial: órganos hipertrofiados (tumores, abscesos), cúmulos de sustancias, presión continuada (postración), cicatrices.
- Contracción espástica arterial: frío, simpaticomiméticos (ergotina), adrenalina, origen nervioso (crisis anginosas por impresión brusca).
Aspecto macroscópico
- Color más pálido (menor cantidad de sangre).
- Superficie de sección seca.
- Necrosis (infarto): por obstrucción brusca y total en zonas sin anastomosis.
- Atrofia o degeneración: en isquemia gradual o parcial, o cuando hay circulación colateral.
Pronóstico
Depende de:
- Susceptibilidad celular a la isquemia.
- Tamaño del vaso y grado de oclusión.
- Velocidad y duración de la oclusión.
- Existencia o no de circulación colateral.
Infarto
Concepto
Área de necrosis isquémica en un tejido u órgano (muerte por anoxia).
Especies más afectadas
- Caballo
- Perro
- (Menor frecuencia en cerdo)
Tipos de infarto
- Infarto blanco o anémico
- Infarto rojo o hemorrágico
Infarto blanco o anémico
Patogenia:
Obstrucción brusca (embolia) de una arteria terminal en un órgano sin doble circulación → necrosis.
Etiología:
Trombosis valvulares por infecciones (estreptococias, Mal rojo → endocarditis valvular → émbolos → infarto renal en perro y cerdo).
Órganos afectados:
Riñón, bazo, corazón.
Aspecto macroscópico:
- Forma de cuña con vértice hacia el vaso obstruido.
- Color blanco-amarillento.
- Consistencia más densa y dura.
- Zona bien delimitada con halo rojizo o blanquecino.
Microscopía:
- Necrosis por coagulación.
- Halo hiperémico con hemorragias.
[Imágenes con texto:]
- “Infarto blanco — músculo”
- “Infarto blanco — bazo”
- “Infarto — riñón”
Infarto rojo o hemorrágico
Etiopatogenia:
- Oclusión arterial brusca en órganos con doble circulación o colaterales (hígado, pulmón, bazo).
- 1ª: necrosis por anoxia.
- 2ª: encharcamiento de sangre.
- Impedimento brusco al retorno venoso (órganos con hiperemia pasiva): torsión de útero, intestino, vólvulo intestinal.
Aspecto macroscópico:
- Zona prominente, de color rojo-negruzco.
- Límites netos (“cartográficos”).
- Consistencia ligeramente menor.
Microscopía:
- Igual al infarto anémico, pero con amplias hemorragias.
[Imagen con texto:]
- “Infarto hemorrágico — intestino”
Evolución de los infartos
- Cicatrización:
- Sustitución de la zona necrótica por tejido conjuntivo denso.
- Color grisáceo, consistencia aumentada.
- Menor tamaño, superficie deprimida.
[Imagen con texto:]
- “Infarto cicatrizado — miocardio”
- Invasión bacteriana:
- Gangrena húmeda (intestino, pulmón).
- Abscesos (bacterias piógenas).
Pronóstico: Muy variable según:
- Tamaño del vaso.
- Susceptibilidad celular:
- Muy susceptibles: riñón, miocardio, SNC.
- Poco susceptibles: tejido conjuntivo.
“Muerte en 15 minutos o en 15 años.”
Tema 15 — Trastornos de la circulación linfática
Generalidades anatómicas y funcionales
-
El sistema linfático está formado por:
- Capilares linfáticos ciegos o terminales.
- Vasos linfáticos de distintos calibres.
- Conducto torácico → desemboca en vena cava anterior.
-
La linfa es un líquido similar al suero, pero más rico en lípidos (color blanquecino).
Funciones
- Drenar desechos metabólicos y fluidos tisulares hacia la sangre.
- Transportar agentes infecciosos y partículas hacia linfonodos → respuesta inmune.
Soluciones de continuidad / rupturas
- Causan linforragia (o quilorragia si es de gran calibre).
- Salida de linfa desde los vasos linfáticos y acumulación en cavidades orgánicas.
- Linfa en cavidades serosas: quilotórax, quiloperitoneo.
- En perro y gato: quilotórax-quiriperitoneo (frecuencia variable).
[Imagen con texto:]
- “Quilotórax-Quiloperitoneo (%) — Perro”
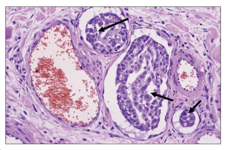
Dilataciones (linfangiectasias)
-
Causadas por:
- Obstáculo al flujo (inflamaciones, tumores, trombosis, compresiones).
- Exceso de flujo linfático.
- Aumento de presión en vena cava.
-
Los estasis linfáticos prolongados causan esclerosis (elefantiasis).
-
Ejemplos:
- Paratuberculosis.
- Neumonías (neumonía fibrinosa; linfáticos pulmonares).
[Imágenes con texto:]
- “Linfangiectasias — Paratuberculosis ovina”
- “Linfangiectasias — Serosa intestinal (oveja con paratuberculosis)”














No comments to display
No comments to display