Tema 7 y 8 - Depositos patológicos de pigmentos y minerales - 22/09
Clase del 22/09 por Cristina Acín Presentación
Hay que saber al hacer una necropsia, si los depositos de sangre son ante o post mortem. Hemolisis antemortem causada, por ejemplo por parasitos o nefrosis hemoglobinúrica, es patologico. Hemolisis postmortem es por fenomenos cadavericos, pseudomelanosis (falsa melanina por actividad microbiotica).
Sustancias coloración propia
- Origen: endógenos y exógenos
- Localización: intracelular y extracelular
Pigmentos endógenos - Hematógenos o hemoglobinógenos - Hemoglobina y hemosiderina - Bilirrubina y otros pigmentos biliares - Porfirinas: Las porfirinas son moléculas orgánicas con estructura de anillo tetrapirrólico que forman parte esencial de compuestos como el grupo hemo, la clorofila y los citocromos. Son fundamentales en procesos como el transporte de oxígeno y la fotosíntesis. Melanina - Pigmentos lipogénicos
- Lipofuscina
Imdibición: Quiere decir que el tejido está teñido, en este caso por la sangre (grupo HEMO)
Hemólisis ante-mortem
Etiología
- Intoxicaciones
- Bacterias y sus toxinas
- Virus
- Parásitos
- Hemorragias internas
- Reacciones inmunes
Patogenia: Hemolisis -> liberación de hemoglobina -> Hemoglobinemia -> Hemoglobinuria
Si vemos riñon negro, sera por hemoglobinuria o ...
Aspecto macroscópico:
- Plasma: rojizo
- Orina: rojiza o parda
- Riñón: marrón oscuro o negruzco
Aspecto microscópico:
- Gránulos pardos intracelulares túbulos renales
- Cilindros pardos en las luces túbulos
Imdibición de hemoglobina postmortem
- Etiología: hemólisis enzimática postmortem
- Aspecto macroscópico: pigmentación rojiza endocardio y arterias
Pseudomelanosis postmortem.
Etiopatogenia
- Hemoglobina + bacterias -> Sulfometahemoglobina Aspecto macroscopico: seroso y parenquima superficial en organos abdominales, color verde-negruzco que no profundiza en los tejidos
Pagina 10 Clase del 29/09 por Cristina Acin
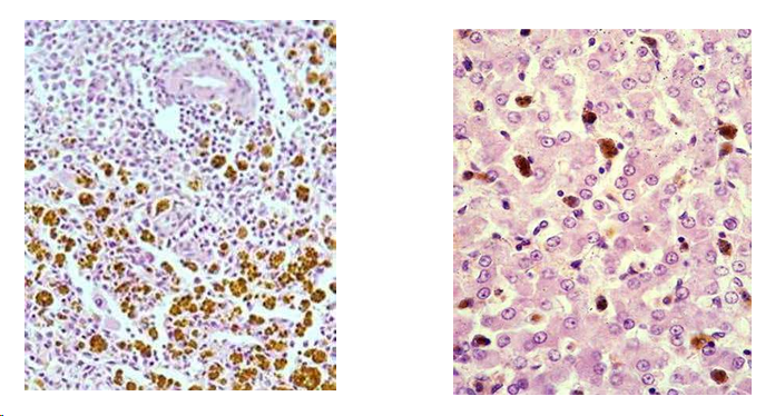
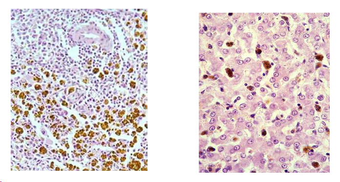
Depositos patológicos de hemosiderina
En animales MAYORES (generalmente perros mayores), en animales jóvenes no deberíamos de ver ya que surge por hemólisis y problemas hemáticos. Si lo vemos en animales jovenes han tenido problemas
Descomposicion de hemoglobina -> globina y grupo hemo > descomposición de hemosiderina y biliverdina
De aspecto macroscópico se ven nódulos siderofibroticos en el bazo NO patológico, normal en animales mayores. Macroscópicamente: vemos pigmento pardo, Kupffer y hepatocitos
- Nódulos siderofibróticos bazo
- Hígado y LN color pardo
Los nodulos linfaticos tienen que ser pardos
Aspecto microscópico:
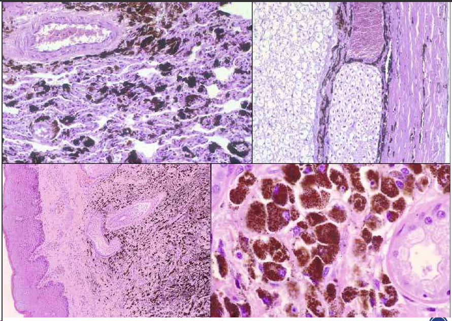
Depositos patológicos de Bilirrubina Pigmentos biliares
Pigmento amarillo-verdoso Origen: Degradación de hemoglobina Depositos patologicos de bilirrubina:
- Si es postmortem: Imbibición biliar
- Si es Antemortem: Ictericia
Imbibición biliar: NO PATOLÓGICO
Aspecto macroscópico: Pigmentación verdosa, periférica a la vesícula biliar.

Ictericia: PATOLOGICO Exceso bilirrubina en sangre, liquido extracelular y tejidos. Se ve sobre todo en la grasa pero tambien en piel, conjuntiva del ojo, mucosa, riñon, higado
Aspecto Macroscopico del higado con ictericia o hiperbilirrubinemia es un color amarillento verdoso
Aspecto macroscopico de la Ictericia o Hiperbilirrubinemia:
- Tamaño normal o ligeramente aumentada de tamaño
- Color azafranada que profundiza
- Textura marmoleada
- GRAN tamaño de la vesicula biliar.
Aspecto microscopico:
Depositos patologicos de pigmentos de Porfirinas:
Defecto congenito por falta de enzima uroporfirinogeno-III-cosintetasa Especies afectadas: Bovino, gatos y cerdo.
Cuadros clinicos:
- Anemia
- Fallo renal
- Fotosensibilización
Cuadro macroscopico: color pardo-rojizo en:
- Riñon y orina (Porfirinuria)
- Huesos y dientes (Osteohemocromatosis)
- Piel: Dermatitis fotosensibilizante con heridas en la piel
Depositos patologicos de pigmentos de Melanina:
Depositos habituales:
- Piel y pelo
- Mucosa oral
- Incluso en las meninges del cerebro
- Iris
- Vasos
- Utero.
Hiperpigentación: Puede ser congenita y no patologica (por ejemplo, en traquea o en cerebro)
Hiperpigmentación:
- Congénita
- Adquirida Hipopigmentación:
- Congénita
- Adquirida
Melanosis maculosa congenita
- NO patologica
- Melanina localizaciones no habituales
- Se decomisa aunque no sea problematica
- En rumiantes o en cerdo
- Generalmente en pulmon pero puede aparecer en otros organos
- Manchas negras
Aspecto macroscópico: Manchas poligonales negras:
- En pleura, pericardio
- Calsulas hepatica
- Intima de la aorta
Acaba involucionando/Involución congénita si crece
Melanosis adquiridas: Secundarias a dermatitis
- Acanthosis nigricans
- Estrogenización
- Hiperadrenalismo
Tumores melanicos:
- Melanosarcoma
Melanina se ve macroscopicamente, depositos negros
Hipopigmentación
Vitiligo:
- Despimentación en manchas
- Destrucción de melanocitos
Leucoderma
- Despigmentacion adquirida
- Causada por cicatrices (lamido de vaca en la nariz)
Leucotriquia:
- Menor pigmentacion del pelo
- Leishmania
Albinismo:
- Ausencia de pigmentación melanica
- Carencia congenita de tirosinasa
- Aspecto macroscopica de piel y pelo blanco y ojos sin pigmentar.
Depositos patológicos de pigmentos lipogénico
Lipofucsina:
Por desgaste, pigmento senil. Comunmente visto en las neuronas.
Etiopatogenia: Membranas-> autofagocitosis -> no degradación en lisosoma
- Lo vemos en animales seniles o caquectico
Aspecto microscopico
- Se presenta como granulos pardos
- Mas en el sistema central y mas claro que la fuserina
- En neuronas, miocitos, hepatocitos
Pigmento ceroide:
-Pigmento lipidico amarillento
- Origen: necrosis, tumores caquexia
- COMUN EN EL GATO
Aspecto macroscopico Necrosis de la grasa + pigmento amarillo Suele ocurrir con tumores
Se localiza en celulas fagociticas.
Depositos patológicos de pigmentos exogenos
Antracosis
Causado por polvo de carbón que inhalamos y al ser polvo inerte llega al pulmon y linfonodos porque el sistema inmune no reacciona a el, los macrofogos al ser inespecificos lo fagocitan llevandolo desde los alveolos a los linfonodos.
IMPORTANTE, ENTRA ESTA PATOGENIA
Patogenia: Inhalación de partículas de carbón, alvéolos, macrófagos, linfonodos ¡¡ Ausencia de reacción – sustancia inerte!!
Aspecto macroscópico:
- Pulmón: punteado negro, fino y difuso Linfonodos torácicos: medular grisácea
Se ve como pequeños punteado en todo el pulmon y en el linfonodo da un caracter negruzco con manchas difusas grandes
Depositos patológicos de minerales
- Calcificaciones patológicas
- Calcificación metastásica
- Calcificación distrófica
- Litiasis
- Cálculos o concrementos verdaderos
- Pseudoconcrementos
- Osteopatías metabólicas
- Raquitismo
- Osteomalacia
- Osteofibrosis
Calcificaciones patológicas
Depositos de sales de Calcio Ca++ y trazas de (Fe++ y Mg++)
Aspecto macroscópico:
- blanquecino o gris
- crepita al tocar y profundiza en el órgano
- Se ven granulos duros pequeños (arena o placas)
Puede ser metastasica (Proceso metabolico generalizado con hipercalcemia y pasa a todos los organos) o distrofica (Fenomeno de necrosis que se calcifica) Es decir, metastasica en varios organos, distrofica en una
Metastasica:
- Hipervitaminosis D por una dieta o plantas
Hiperparatiroidismo (Mayor parathormona)
- Lo veremos en la pared del estomago (en lamina propia), pulmon (Sepos alveolares), riñon(Tejido peritubular), arterias/endocardio (elastica interna)
Calcificación distrofica
- En tejidos previamente alterados (Afectados por otra enfermedad como la necrosis):
- Tejidos muertos: Granulomas, trombos, hematomas, tumores, parásitos
- Zonas degeneradas o inflamadas: Hialinosismuscular, arteriosclerosis, cicatrices, pleuritis, pericarditis, etc.
- Al haber necropsia una de las formas de solucionarlo es la calcificación del tejido
Litiasis o calculos
Formaciones de cuerpos solidos, a veces petrificados en conductos de excrecion o cavidades
Factores predisponentes:
-
Retencion de secreciones/exudados
-
Alteraciones nutricionales y metabolicos
-
Escasa disponibilidad de agua
-
Carencia de vitamina A
-
Mas frecuente en riñon y vias urinarias, higado y vias biliares, pancreas, glandulas salivares, intestino
-
Especies mas afectadas: perros, gatos, rumiantes, cerdo, caballo
-
Color blanco, gris, amarillentos (Claros)
-
Consistencia dura
Calculos urinarios - Urolitos
- Vejiga de la orina: forma y tamaño variables, múltiples
- Uréter, uretra
- Proceso uretral
Calculos biliares
- Sobre todo en bovidos y cerdos
- Factores predisponientes: Parasitos muertos o Hipercolesterinemia (La hipercolesterinemia es una condición médica caracterizada por niveles elevados de colesterol en sangre, especialmente del tipo LDL (colesterol “malo”))
- Localización: Conductos biliares y vesícula biliar
- Consistencia: blanda, untuosa, semisólida (como jabón)
- Color: verde, azafranado, o negruzco
Calculos pancreaticos
- Bóvidos: conductos excretores
- Tamaño:de 1 mm a 1 cm. de diámetro
- Composición: carbonato y fosfato de calcio
- Color: blanco
- Consistencia: dura
Pseudoconcrementos
- En rumiante, en cerdo, a veces en gato (pelo)
- Formaciones de minerales y o pelos
- No son calculos
- Etiopatogenia: pelos (lamido) + minerales
- Especies afectadas/ localización:
- Rumiantes: abomaso
- Cerdos: estómago y colon
- Aspecto variable:
- Lisos y pulidos
- Rugosos (pelos)
Depositos patologicos de minerales:
- Raquitismo: mineralización insuficiente matriz ósea en crecimiento. En Animal que de joven no ha tenido una dieta adecuada y han tenido deficiencias durante el crecimiento. No han creacido lo que debian, extermidades arqueadas
- Rosario raquitico, se rompen las costillas espontaneamente cuando son jovenes
- Especies afectadas: Cerdos, terneros, perros
- Etiología:
- Aporte insuficiente de Ca, P y/ o vitamina D en la dieta
- Descompensación en la proporción Ca/P en la dieta
- Excreción excesiva renal de Ca, P
Osteomalacia: descalcificación huesos animales adultos, previamente bien mineralizados
Osteodistrifia fibrosa: ↑↑ exceso parathormonaà que produce mas actividad de los Osteoclastos
- Reabsorción de hueso. Neoformación rápida sustancia osteoideà. No se modela ni calcifica. Se produce tejido fibroso en su lugar.






























No comments to display
No comments to display