Tema 27 - Generalidades de las Neoplasias - 26/11
Clase del 26/11
Tema 27 - Generalidades de las neoplasias
T-27. neoplasias
Definición y conceptos generales
Anatomía Patológica General 2025-26
Dr. B. Moreno
Universidad de Zaragoza
Neoplasias
- Definición
- Importancia
- Denominación
- Clasificación
- Características macroscópicas
- Características microscópicas
NEOPLASIAS
- Tumor (“tumoris”): hinchazón (ojo¡¡¡¡: puede ser otra lesión: granuloma, absceso, hematoma, hiperplasias…..)
- Cáncer (“kartinos”: cangrejo): crecimiento infiltrativo
NEOPLASIA: “neo-/-plasia”: crecimiento nuevo
NEOPLASIAS — Importancia:
- Humana: segunda causa de muerte
- En veterinaria: causa importante de muerte animal
- Neoplasias infecciosas (virus)
- Importantes modelos de estudio
- Animales de compañía: >10 años → 45% mueren por tumores
- En general, 23% mueren por tumores
¿Es una neoplasia?
- Reconocer
- ¿Es primaria?
- ¿Es metástasis?
- ¿Qué células hay en ese tejido?
¿Es una neoplasia?
Pero “NO SIEMPRE” un crecimiento anormal
Imagen: Actinomicosis mandibular. Vaca (NEIKER) (texto procedente de imagen)

Denominación de las neoplasias
Dos parámetros:
- Prefijo / sufijo
- Nomenclatura particular
- Tejido de origen
- Benignidad o malignidad
- Patrón de crecimiento (MO)
- Nombres específicos
Un quiste es una bolsa cerrada que se forma en cualquier parte del cuerpo y está llena de líquido, aire, pus u otro material
Ej: Adenocarcinoma quístico / Adenoma cístico
Denominación de las neoplasias — Ejemplo
Osteosarcoma
Prefijo: tejido (célula tumoral): osteo- (hueso)
Sufijos:
- “-oma” → tumores benignos (epiteliales y mesenquimatosos)
- “-sarcoma” → tumores malignos mesenquimatosos
- “-carcinoma” → tumores malignos epiteliales
Ejemplos:
- Benigno: Fibroma / Osteoma
- Maligno: Fibrosarcoma / Osteosarcoma
IMPORTANTE, HACE FALTA SABER COMO DENOMINARLOS
Denominación por prefijos/sufijos
- Tejido adiposo: lipoma / liposarcoma
- Sistema vascular: hemangioma / linfangioma (-sarcoma)
- Tejido muscular liso: leiomioma / leiomiosarcoma
- Tejido muscular estriado: rabdomioma / rabdomiosarcoma
Imagen: Lipoma (texto procedente de imagen)
Denominaciones específicas
- Tejido hemolinfático: linfoma, histiocitoma, leucemia…
- Testículo: seminoma, tumor de células de Leydig, tumor de células de Sertoli
Imagen: Seminoma en cerdo (texto procedente de imagen)
Denominaciones específicas (continuación)
- Carcinoma / Sarcoma + célula neoplásica (ej: Sinovial, Células escamosas, Transición, Basales…)
- Tejido nervioso: célula neoplásica + “oma” (astrocitoma, meningioma, oligodendroglioma)
Imagen: Meningioma (texto procedente de imagen)
Clasificación de las neoplasias
a) Histogénesis / Clínica
Histogénesis
- Tumores epiteliales
- Tumores mesenquimales
- Tumores mixtos (dos o más células de distinto origen → ej: carcinosarcoma)
- Tumores indiferenciados (origen desconocido)
- Teratomas (derivados de las tres capas germinales a la vez)
- Tumores de células redondas (sistema hemolinfático)
Neoplasias epiteliales
Origen: ectodermo, endodermo, mesodermo
- Epitelio escamoso estratificado: papiloma / carcinoma de células escamosas
- Células basales: basalioma / carcinoma de células basales
- Epitelio glandular: adenoma / adenocarcinoma
En gatas la mayoria de los tumores mamarios (Adenocarcinoma mamario) son malignos, en perros no.
Imagen: Carcinoma células escamosas (labio oveja)
Imagen: Adenocarcinoma mamario (perro)
Neoplasias epiteliales (continuación)
- Neuroectodermo (melanocitos): melanocitoma / melanoma
- Epitelio de transición urinario: papiloma / carcinoma de células de transición (carcinoma urotelial)
- Epitelio testicular (células germinales): seminoma
Imagen: Seminoma
Imagen: Carcinoma de vejiga (transición)
Neoplasias mesenquimatosas (mesodermo)
1. Tejido conectivo y derivados
- Conectivo fibroso: fibroma / fibrosarcoma
- Conectivo mucinoso: mixoma / mixosarcoma
Imagen: Fibrosarcoma
Imagen: Fibroma
Neoplasias mesenquimatosas (continuación)
- Tejido adiposo: lipoma / liposarcoma
- Condrocitos: condroma / condrosarcoma
- Hueso: osteoma / osteosarcoma
Imagen: Lipoma (dos imágenes)
Neoplasias mesodérmicas: endoteliales
2. Tejido endotelial y relacionados
- Vasos sanguíneos: hemangioma / hemangiosarcoma
- Vasos linfáticos: linfangioma / linfangiosarcoma
- Bastante comunes en vasos sanguineos
Imagen: Hemangioma esplénico
Imagen: Hemangioma hepático
Neoplasias mesodérmicas (continuación)
- Mesotelio: mesotelioma
- Meninges: meningioma (benigno y maligno)
- Sinovia: sinovioma / sarcoma sinovial
- Ovario (superficie): adenoma / adenocarcinoma
- Casi siempre maligno aun con el nombre
Imagen: Mesotelioma torácico (gato)

Neoplasias mesenquimatosas
3. Tumores musculares
- Músculo liso: leiomioma / leiomiosarcoma
- Músculo estriado: rabdomioma / rabdomiosarcoma
Imagen: Leiomioma intestinal (perro)
Neoplasias de células redondas
- Células linfoides: linfoma / leucemia linfoide
- Células plasmáticas: plasmacitoma, mieloma múltiple
- Mastocitos: mastocitoma
- Histiocitos: histiocitoma / sarcoma histiocítico
- Otros: TVT, algunos melanomas
Imágenes: Sarcoma histiocítico, Linfoma, Leucemia, Linfoma en gato
Clasificación de las neoplasias
b) Comportamiento clínico
1) Neoplasias benignas
2) Neoplasias malignas
Macroscópicamente es imposible prever pronóstico
Necesario el estudio microscópico
Criterios clínicos y macroscópicos
| --- | Benignas | Malignas |
|---|---|---|
| Mortalidad: | No | Sí |
| Crecimiento: | Lento | Rápido |
| Tamaño: | <tamaño | >tamaño |
| Encapsulado: | Sí | No |
| Invasión tisular: | No | Sí |
| Ulceración / necrosis / hemorragias: | No | Sí |
Imagen: Lipoma movible
Características generales de las neoplasias
Aspecto macroscópico
Tamaño
- Nódulos sólidos grandes o múltiples irregulares → tumores casi siempre
Imágenes: Hemangiosarcoma, Tumor testicular
Color
- Abigarrado → hemangiosarcoma
- Abigarrado → carcinoma renal
- Color oscuro → melanoma / hemangio
- Color blanquecino en linfonodos → linfoma
Patrón de crecimiento macroscópico
- Sólido
- Papilar / digitiforme
- Sésil
- Pedunculado
- Intraductal
- Ulcerativo
- Cístico
- Circunscrito
- Encapsulado
- Infiltrativo
- Fungoide
- Multicéntrico
- Anular
Imágenes:
Papiloma, crecimiento papilífero, sésil, encapsulado, anular, ulcerativo, expansivo, infiltrativo, nodular
Características microscópicas
Componentes
- Parénquima: células tumorales
- Estroma: conectivo, vasos, inflamación
Métodos:
- Histopatología
- Citología
- Inmunohistoquímica
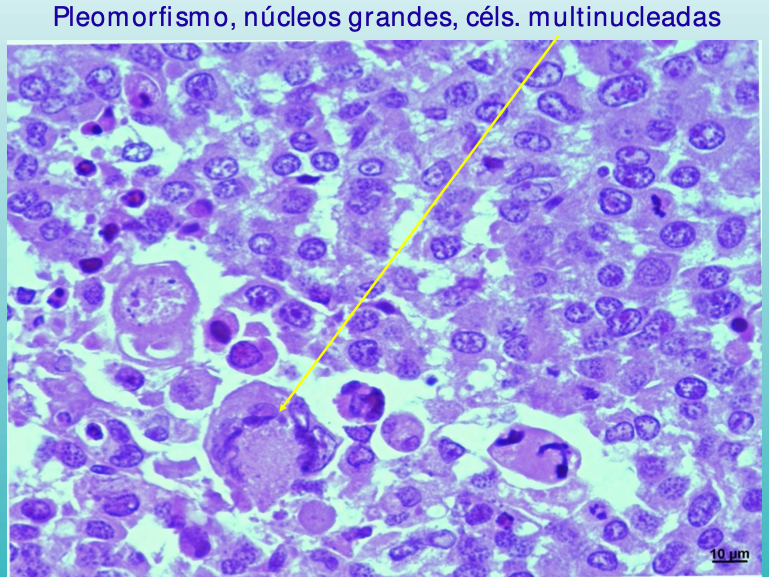
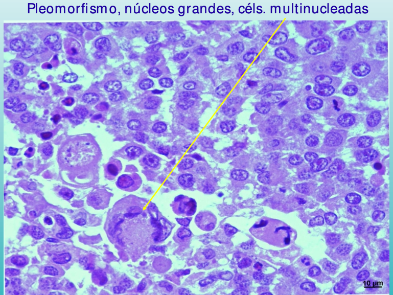
Criterios microscópicos benigno/maligno
| --- | Benignas | Malignas |
|---|---|---|
| Celularidad: | + | +++ |
| Pleomorfismo: | - | +/+++ |
| Atipia nuclear: | - | +/+++ |
| Mitosis: | -/+ | +/+++ |
| Anaplasia: | - | +/+++ |
| Diferenciación: | +++ | -/+ |
| Necrosis/hemorragias: | - | +/+++ |
| Cápsula: | +/++ | -/+ |
| Invasión cápsula/vasos: | - | +/+++ |
Invasion de vasos y de la capsula, malignidad
Parénquima: ejemplos
- Adenoma mamario (benigno)
- Fibroma
- Tricoepitelioma
- Adenocarcinoma tubular (maligno)
- Sarcoma (mitosis atípicas)
- Necrosis, atipia, hemorragias
Estroma del tumor
Composición:
- Matriz extracelular
- Células (endoteliales, pericitos, fibroblastos, inmunes)
Importancia: NO SON NECESARIAMENTE SEÑALES DE MALIGNIDAD, en tumores de mama, depende mas de los acinis, no tanto de si son mixtos o no
- Tumores mixtos (metaplasia cartilaginosa/ósea)
- Consistencia (tumores escirros) (consistencia dura, mucho tej. conjuntivo)
- Comportamiento inmune : cls. Inflamatorias modulan...
Imágenes: Metaplasia cartilaginosa, ósea, Sertoli, inflamación, ulceración
Respuesta del organismo hacia la neoplasia:¡¡¡¡arma de doble filo!!!!
MUCHAS GRACIAS
Fin del documento.
Importante, dentro de los vasos y nodulos linfaticos. Generalmente maligno
IMPORTANTE: PREGUNTAS EXAMEN: Ponen imagenes o describen un tumor, asi que hay que saber bien como nombrarlos y conocer los mas comunes.



















































No comments to display
No comments to display