Prueba de imagenes
Temas 1-9 de Cristina Acín
Rellenar?
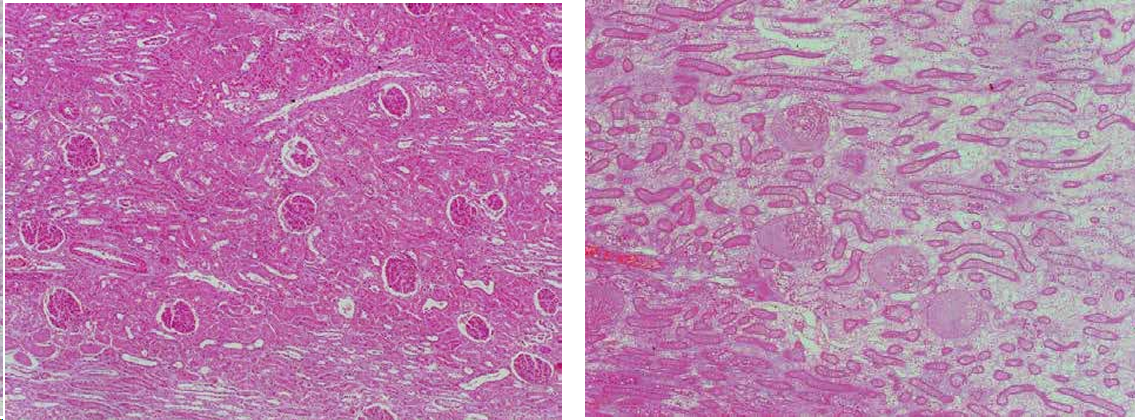
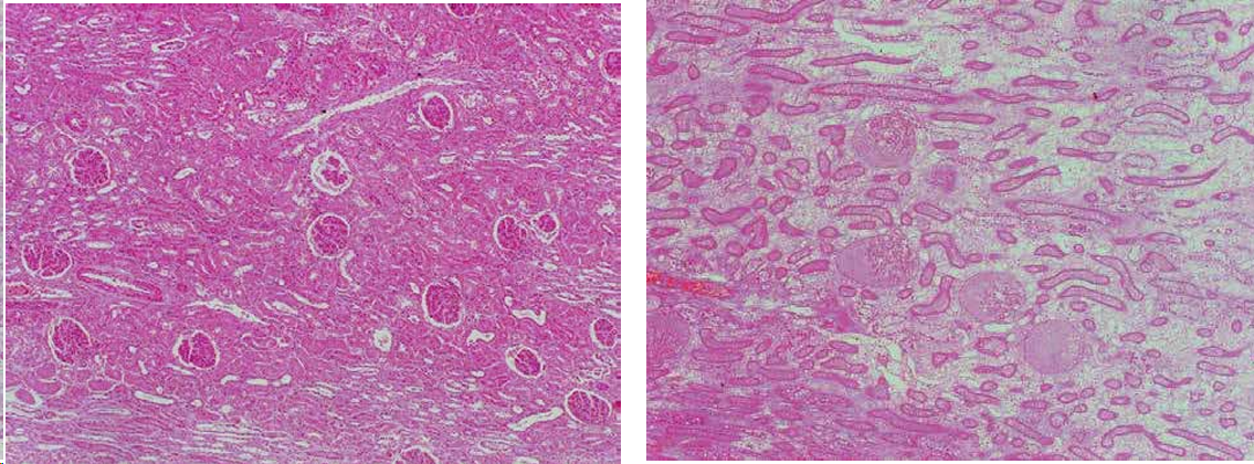
Necrosis por coagulación
Mas información: Necrosis por coagulación causada por una alteración de la circulación, isquemia. Tambien se puede llamar infarto blanco. En microscopia se ve una imagen fantasma, se mantiene la estructura pero pierde material eosinofilico (Mas blanquecino)
Es una lesion aguda, se ven blancas las areas afectadas, palidas y secas. Consistencia firme, fragil y quebradiza. La zona necrotica está bien delimitada. A veces hay hiperemia y hemorragias al rededor de las necrosis. Podemos verlo en corazón, riñon, higado, esofago...
Necrosis por caseificación
Mas información: Necrosis por caseificación, desaparece la estructura. Muy comun en tuberculosis. Pastoso quebradizo, grumoso, blanquecino o amarillento/grisáceo, a veces líneas concéntricas o aros de cebolla. Sueleln tener buena delimitación y profundizar. A veces se ve como un borde o capsula. Tambien se puede dar en organos ricos en enzimas, el pancreas. Se ven las cavidades mal delimitadas, pared irregular
Microscopicamente no se puede diferenciar el organo, hay celulas gigantes multinucleadas, restos celulares, calcificación.
Necrosis por liquefación
Mas información: Necrosis por liquefación, al ser el SNC mayoritariamente grasa, solo se da en este sistema. Se ven cavidades vacias con liquido turbio, a veces purulento. Al microscopio tampoco se distingue el tipo de organo, algo mas rosa claro y restos celulares
Necrosis gangrenosa (seca o momificada)
Mas información: Gangrena seca en fetos y extermidades (Mamas, cola, orejas, cordón umbilical,). especto apergaminado, seco, no huele, bien delimitado y un tamaño normal con delimitación nitida. orejas de cerdo negras
Necrosis gangrenosa (Humeda)
Mas información: Gangrena humeda, comun en pulmon por deglucion desviada o aspiracion pero tambien ocurre en piel, mama, utero, boca e intestino. Se ve gris/purulenta, untuosa, blando. Un tejido que previamente ha sufrido una necrosis es invadido por bacterias saprofitas. Olor fetido y delimitación incompleta, a veces aro oscuro alrededor. Mas humeda que la necrosis por caseificación.
Necrosis gangrenosa (Humeda)
Mas información: Necrosis de la grasa, blanquecino, crepita, reflectante, seco y firme. Se diferencia mal de la grasa normal, puntitos mas claros. Suele ocurrir en pancreatitis, grasa abdominal, por traumatismos o dieta
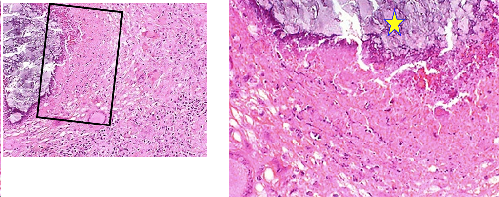
Resolución de una necrosis, en este caso su organización
Mas información: Cicatriz por infarto blanco. Cronica, a esta resolución se le llama ordenacion • Necrosis grandes y/o células permanentes • Reabsorción total del material necrótico • Sustitución por tejido conjuntivo fibroso
Hay reabsorción, organización, demarcacion o encapsulación, reblandecimiento y calcificación.
Depositos de glucogeno, esteatosis renal, degeneración turbia, hidropica y vacular
Mas información: Depositos de glucogeno, esteatosis renal, degeneración turbia, hidropica y vacular. VALEN COMO CUALQUIERA, SE PUEDE PONER CUALQUIERA, NO HACE FALTA PONER TODAS
Degeneracion vesicular
Mas información: Degeneracion vesicular, pueden ser virus normalmente, generan aftas translucidas
Esteatosis heptatica
Mas información: Esteatosis heptatica, mas grisaceo y aclaerado, friable
Obesidad o grasa abdominal
Mas información: Si es grasa pero esta separada o rodeando riñones, es normal, solo obesidad.
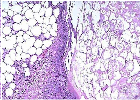
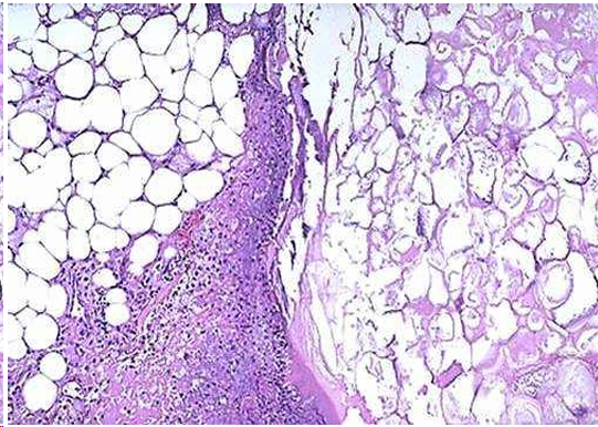
Atrofia serosa del tejido adiposo
Mas información: Atrofia serosa del tejido adiposo, en animales caqueticos. Se ve como transparente las zonas donde deberia haber grasa y como inchada. Nos permite ver los vasos linfaticos.
Granuloma de colesterina
Mas información: Granuloma de colesterina (Cristales de colesterol) importante la patogenia. Generalmente en el sistema nervioso central, colesteatoma de los plexos coroideos es comun en equino (En la parte ventrocentral del cerebro)
Ateromatosis en arterias
Mas información: Ateromatosis en arterias, se ven puntitos claros irregulares (cristales de colesterol) en las paredes de las arterias.
Hialinosis muscular o enfermedad del musculo blanco
Mas información: IMPORTANTE, ESTA CAE. Hialinosis muscular o enfermedad del musculo blanco, carne palida o cocida. Se puede dar en el cardiaco o en el estriado.
Amiloidosis renal
Mas información: IMPORTANTE, ESTA CAE. Amiloidosis renal, jaspeado que profundiza en el organo, puntos grises, puede haparecer en el higado. Consistencia gomosa
Depositos de acido urico
Mas información: Depositos de acido urica, visceral. Gota urica, comun en humanos, aves, reptiles y dalmatas, por falta de uritasa, puede pasar en articulaciones tambien. En corazon, higado… Caso especial en lechones, infarto urico en riñones de cerdos jovenes.
Hiperqueratoris de la piel
Mas información: Hiperqueratoris de la piel
Hiperqueratoris ruminal
Mas información: IMPORTANTE, ESTA CAE: HIPERQUERATOSIS, Se fusionan las papilas y la queratina da un color oscuro. en rumen de rumiantes por piensos muy molidos que dan ruminitis.
necrosis mioglobinurica o nefosis hemoglobinurica
Mas información: Enfermedad del lunes por la mañana, necrosis mioglobinurica o nefosis hemoglobinurica. Riñon negruzco que profundiza mucho, incluso en el hilio
Imbibición de la hemoglobina postmortem
Mas información: Imbibición de la hemoglobina postmortem, por dejar la sangre en contacto con los tejidos.
Imbibición de la hemoglobina postmortem
Mas información: Pseudomelanosis postmortem, capa oscura que no profundiza, por sulfametahemoglobina de las bacterias en organos parenquimatosos.
Depositos de Hemosiderina
Mas información: Hemosiderina o pigmentos del desgaste. En bazo, pigmento del desgaste del grupo hemo. En linfonodos, sobre todo mesentericos. Tambien en bazo.
Imbibición biliar
Mas información: Imbibición biliar por la bilis por Bilirrubina, a diferenciar de ictericia que se da antemortem. Se ve mas en la grasa del animal.
Ictericia
Mas información: Bilirrubina alta antemortem
Porfirinas en bovino
Mas información: Porfirinas en bovino, huesos rojos por falta encimatica, fotosensibilizacion y problemas dermatologicos.
Melanosis maculosa congenita
Mas información: Melanosis maculosa congenita por cumulo de melanina, no es una enfermedad, es comestible
Hipermelanosis adquirida
Mas información: Melanosis adquirida si es enfermedad
Hipopigmentacion por Leucotriquia
Mas información: Leucotriquia, menor pigmentacion, leishmania
Hipopigmentacion por leucoderma
Mas información: leucoderma por cicatrices en nariz de bovino
Hipopigmentacion por Albinismo
Mas información: Albinismo
Antracosis
Mas información: Antracosis, animales en contacto con fumadores, zonas industriales. Carbon es sustancia interte, los macrofagos lo fagocitan y llevan a los linfonodos.
Calculos o litiasis
Mas información: Calculos o litiasis, en pelvis renal, ureteres, pancreas.
tricobezoares
Mas información: Puedes encontrar tricobezoares en gatos,rumiantes o cerdos, con pelos o bolas oscuras
Rosario raquitico
Mas información: Rosario raquitico, callos oseos en las costillas por innanición, se rompen las costillas repetidamente





























































No comments to display
No comments to display