Tema 7 - Radiologia, ecografia y endoscopia abdominal - 14/11-25-11
Clase del 14/11 Presentación
TEMA 7 – EXPLORACIÓN DEL ABDOMEN
DIAGNÓSTICO POR IMAGEN
Amaia Unzueta
amunzuet@unizar.es
DIAFRAGMA
Proyección LL:
En función del decúbito, diferente apariencia:
- LL Izda: Imagen en “Y”
- LL Dcha: Única cúpula
Proyección DV o VD:
La imagen varía según esté centrado el haz de RX.
- DV: como una estructura única en forma de cúpula
- VD: como dos o tres estructuras separadas en forma de cúpula.
¿Qué alteraciones podemos reconocer en la RX?
Hernia diafragmática:
- Hernia de hiato: Desplazamiento craneal de cardias a través de hiato esofágico.
Congénita/Adquirida.
Braquicéfalos/Shar-Pei.
RX:
- Opacidad tejido blando en mediastino caudodorsal, craneal a diafragma.
- Técnicas de contraste.
- Dinámica.
- +/- Neumonía por aspiración!!
Rotura diafragmática
Adquirida. Normalmente por traumatismo.
Desplazamiento craneal de órganos abdominales.
RX:
- Aumento de opacidad en la cavidad torácica.
- Órganos abdominales dentro de la cavidad torácica.
- Pérdida de definición del diafragma.
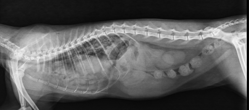
ESTUDIO RADIOLÓGICO DE LA CAVIDAD ABDOMINAL
- Proyección laterolateral (LL) / Proyección ventrodorsal (VD).
- Estructuras extraabdominales / Estructuras intraabdominales.
- Signos de Röentgen (tamaño / forma, márgenes / opacidad / número / posición).
- Interpretación sistemática.
¿Qué proyecciones utilizamos? / ¿Qué exploramos?
(Contenido visible en imagen):
Cr – Md – Cd
Ventral – Dorsal
En LL:
- Esófago más caudal
- Fundus gástrico
- Cabeza, Cuerpo bazo
- Adrenales
Medial
- Hígado
- Vesícula biliar
- Píloro
- Duodeno proximal
Caudal
- Adrenales
- Riñones
- Uréteres
Abdomen medio
- Asas intestino
- Ganglios mes.
- Colon transverso
- Ciego
Caudoventral
- Cola bazo
- Asas intestino
Caudodorsal
- Ganglios iliacos
- Colon descendente
- Uréteres
Pélvico
- Colon–recto
- Útero
- Próstata
- Canal pélvico
Vejiga
Se ven / NO se ven (texto de imagen).
HÍGADO
- Localizado caudalmente a diafragma.
- Se distingue el borde del lóbulo lateral izq. a nivel de arco costal: ángulo caudoventral hepático.
- Opacidad tejido blando homogéneo.
- Presenta bordes agudos.
Eje gástrico
Línea imaginaria que pasa a través del fundus, cuerpo y píloro.
Debe situarse paralelo a las costillas (10ª), perpendicular a la columna (perros de tórax profundo).
¿Qué podemos estudiar en una RX?
TAMAÑO – OPACIDAD
TAMAÑO
Laterolateral derecha:
- Localización del ángulo caudoventral hepático: no debe superar el arco costal.
- Valoración de la posición del eje gástrico.
a) Hepatomegalia (generalizada)
RX LL:
- Ángulo caudoventral sobrepasa el arco costal
- Bordes redondeados
- Desplazamiento caudodorsal del eje gástrico
RX VD:
- Desplazamiento de estómago caudal y hacia el lado izq.
b) Microhepatía
RX LL:
- Desplazamiento craneal del eje gástrico
- ¡Ojo en animales de tórax profundo!
OPACIDAD – MINERALIZACIÓN
Mineralizaciones en rama: litiasis en vías biliares.
Mineralización focal: colelitos en vesícula biliar / Neoplasia mineralizada.
CUERPOS EXTRAÑOS
ECOGRAFÍA
TC
(Se incluyen solo los títulos tal y como aparecen.)
BAZO
Proyección LL:
- Cabeza: aspecto dorsal y craneal, caudal a fundus gástrico. Poco visible en PERRO.
Visible en ocasiones en GATO. - Cuerpo y cola: estructura de opacidad tejido blando en abdomen medio ventral (No se ve en GATOS).
Proyección VD:
- Cabeza: estructura triangular de tej. blando en aspecto craneal izdo., caudal a fundus gástrico y craneal a riñón izdo.
- Cuerpo y cola poco visibles.
(En imágenes: “Cabeza esplénica”, “Cola esplénica”.)
¿Qué podemos estudiar en una RX?
TAMAÑO – LOCALIZACIÓN – FORMA
ESPLENOMEGALIA
Normal en perros jóvenes, perros de deporte, Pastores Alemanes.
RX: Desplazamiento de órganos adyacentes.
TORSIÓN ESPLÉNICA
Perros de razas grandes o gigantes.
El bazo gira sobre su pedículo: oclusión de drenaje venoso/arterial.
RX: Esplenomegalia grave.
Posición anómala: bazo en forma de “C” en proyección LL.
ESÓFAGO
Proyección LL: Discurre dorsal a la tráquea.
El esófago normal es difícil de ver radiológicamente (signo de fusión de siluetas).
¿Qué patologías podemos detectar?
DILATACIÓN ESOFÁGICA
RX: “signo de banda traqueoesofágica”.
CUERPOS EXTRAÑOS RADIOOPACOS
¡ENDOSCOPIA!
Clase del 14/11
ESTÓMAGO
LL:
- Fundus dorsal / Píloro ventral.
VD:
- Fundus izquierda / Píloro derecha.
(F–P indicados en imagen.)
PATOLOGÍAS EN RX SIMPLE
TAMAÑO / FORMA
CONTENIDO
DILATACIÓN CON FORMA NORMAL
- Ingestión excesiva de comida
- Aerofagia
- Dilatación crónica: “Signo de grava” (material mineralizado por obstrucción crónica)
DILATACIÓN CON FORMA ANÓMALA: DILATACIÓN–TORSIÓN GÁSTRICA
IMPORTANTE, LA PREGUNTA Y ES GRAVE
SINTOMAS RADIOLOGICOS:
- Dilatación gástrica
- Desplazamiento dorsal de píloro (LL): “Signo de compartimentalización” / “doble burbuja” (Esta el piloro arriba y el fundus abajo, al contrario de como deberia)
- Desplazamiento a la izq. de píloro (VD) Se ve como plegado en los RX
- Puede asociarse a torsión esplénica, megaesófago, íleo funcional, neumonía por aspiración. Puede generar hilio paralitico, gas y dilatacion enterica.
ALTERACIONES DEL CONTENIDO
CUERPOS EXTRAÑOS
OTRAS ALTERACIONES
- Engrosamiento de pared
- Inflamación
- Úlceras
- Neoplasia
¡¡¡PRUEBAS COMPLEMENTARIAS!!!
- ECOGRAFÍA
- ENDOSCOPIA
- TC
INTESTINO DELGADO
(Imagen: perro y gato comparativos.)
RX:
- Dos poblaciones de asas (normales / dilatadas)
- Diámetro aumentado
- Asas distendidas, paralelas
OBSTRUCCIÓN MECÁNICA
(Cuerpo extraño / invaginación / masas)
Importante saber a que diametro se considera que las asas han incrementado.
PERRO: diámetro normal I.D / L5 < 1,4
GATO: diámetro normal I.D / L2 < 2
OTRAS ALTERACIONES
- Inflamación
- Neoplasia
- Intususcepción
¡¡¡PRUEBAS COMPLEMENTARIAS!!!
• ECOGRAFÍA
• ENDOSCOPIA
• TC
CIEGO
Visible en el perro en abdomen medio dorsal, lado derecho.
Importante No se aprecia en gatos.
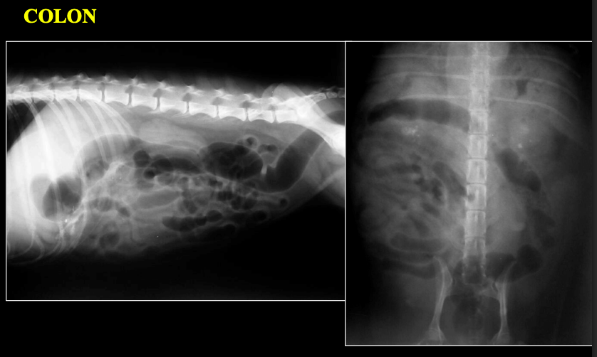
INTESTINO GRUESO – COLON
PERRO: diámetro normal < longitud L7
GATO: diámetro normal < 1,5 × L7
Signo de interrogación en ventrodorsal
MEGACOLON – CONSTIPACIÓN
OTRAS ALTERACIONES
- Engrosamientos: Inflamación, Neoplasia
¡¡¡PRUEBAS COMPLEMENTARIAS!!!
• ECOGRAFÍA
• ENDOSCOPIA
• TC
ESTUDIO DE CONTRASTE DEL APARATO DIGESTIVO
IMPORTANTE NUNCA DAR UN CONTRASTE POSITIVO BARITADO SI SE SOSPECHA DE PERFORACIÓN O FUERA DEL DIGESTIVO. Yodado se puede usar en sospecha de perforación, yodados no ionico mas caro pero se usa en caso de deshidratación.
CONTRASTES NEGATIVOS
No utilizar baritados en caso de perforación.
Usar yodados no iónicos en deshidratación / IR.
PELIGRO DE DEGLUCION DESVIADA Y ASPIRACION. Mas peligrosa en bario porque no se absorbe, en yodo si se absorbe.
ESTUDIO DE CONTRASTE POSITIVO
Administración vía oral.
• Ayuno 24 h.
• Enema 2–4 h antes.
• Comenzar con radiografía simple.
• Medios de contraste: bario líquido / yodados.
• Dosis baritado: 10–15 ml/kg
• Dosis yodado: 2–3 ml/kg
• Proyecciones LL derecha y VD
Clase del /
ESOFAGOGRAFÍA POSITIVA
Patologías:
- Megaesófago
- Divertículo esofágico
- Estenosis: Estrechez, estrechamiento de un orificio o conducto. que no esteatosis
- Perforación
- Masas esofágicas
- Enfermedades de hiato
GASTROGRAFÍA / DUODENOGRAFÍA POSITIVA (EN DESUSO)
• Iniciar con RX simple
• Primera opción: contraste baritado (si no hay sospecha de perforación)
• Administración oral
• Vaciado gástrico:
- Inicio 10–15 min / Final 2,5–3 h
- Inicio 5 min / Final 2 h
RIÑONES
Tamaño
Comparación con L2 en VD:
PERRO: 2,5–3,5 × L2
GATO: 2,5–3 × L2 (riñones pequeños pueden ser normales)
RIÑONES Y URÉTERES
Opacidad tejido blando.
Calcificaciones visibles si hay cálculos.
Uréteres: no visibles normalmente → requieren urografía excretora.
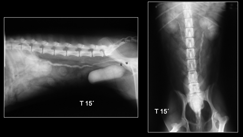
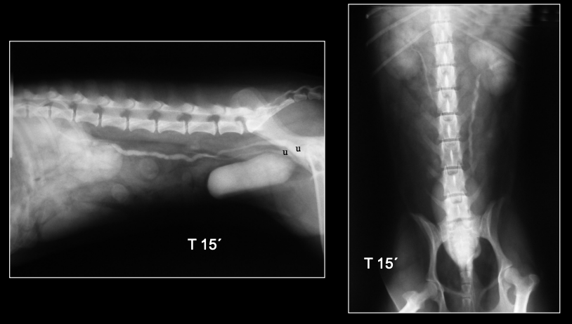
UROGRAFÍA EXCRETORA
Inyección IV de contraste yodado.
Opacificación secuencial: riñones → uréteres → vejiga.
Realizar proyecciones secuenciales.
(Imágenes: T 5’, T 15’.)
VEJIGA Y URETRA
Vejiga: estructura elipsoidal, opacidad tejido blando, abdomen caudoventral.
Se valoran forma, localización, tamaño.
Cambios pueden deberse a órganos vecinos.
Cálculos radioopacos (estruvita / oxalato)
CISTOGRAFÍA DE CONTRASTE RETRÓGRADO
• Ayuno 12 h + enema
• Sondaje y vaciado
• Contraste positivo (yodado 5–15 ml), negativo o doble contraste
• Introducción vía sonda uretral
Cistografía positiva
- Rotura vejiga
- Cálculos radiolúcidos (urato)
- IMPORTANTE, FALSO POSITIVO HIATROGENICO SI NO SE PURGA BIEN LA SONDA Y SE METE AIRE
Contraste negativo (Neumocistografía)
URETRA
- Exploración radiográfica limitada a machos (especialmente caninos).
- Proyección LL con extremidades caudales extendidas.
- Alteraciones que se ven: cálculos radioopacos.
- Se ponen las patas hacia craneal, es en el unico caso en el que lo hacemos asi
URETROGRAFÍA DE CONTRASTE
• Medio de contraste positivo
• Perros: 10–15 ml / Gatos: 5–10 ml
• Introducción con sonda 10 cm aprox.
• RX cuando queden 1–2 ml por introducir
Patologías visibles:
- Divertículo uretral
- Fístula uretro-rectal
- Rotura uretral
- Cálculos radiolúcidos
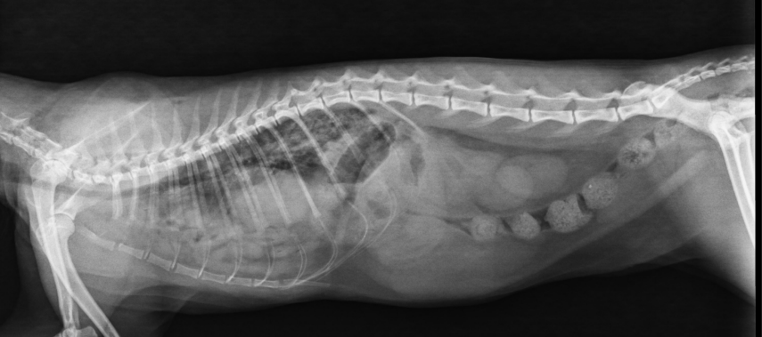
ÚTERO
- Normalmente no se ve.
- Visible cuando distendido: estructuras tubulares tortuosas en abdomen caudoventral.
- Causas:
- Fisiológico: gestación temprana
- Patológico: piómetra, hidrómetra, mucómetra, neoplasia, absceso de muñón
- Gestación: mineralización fetal visible 40–45 días.
- Muerte fetal (Si encontramos gas con los fetos), momificación, distocia (Problemas para el parto).
Clase del 25/11
OVARIOS
- No visibles en radiología simple.
- Radiología simple detecta masas.
- No son retroperitoneales → masas pueden desplazarse ventralmente sin mover otras vísceras.

PRÓSTATA
- En canal pélvico → solo visible si aumentada.
- Todas las patologías → aumento de tamaño:
- Simétrico: hipertrofia, prostatitis
- Asimétrico: neoplasias, quistes
RX:
- “Efecto masa” opacidad tejido blando
- Desplaza vejiga craneal y recto dorsal EFECTO o SIGNOS DOBLE VEJIGA
- Si hay una masa paraprostatica, se puede hacer un contraste mediante una cistografia positiva retrograda para diferenciarlo de la prostata.
CAVIDAD PERITONEAL
Ascitis / Peritonitis
RX: Pérdida de detalle abdominal
¡Ojo animales delgados! y animales muy jovenes
Neumoperitoneo
Proyecciones con haz horizontal. A veces por rotura de intestino o problemas hiatrogenicos (rotura del utero por fallo quirurgico)
Se ve una linea radio lucida craneal al higado por presencia de aire. Es bastante patognomonico. Tambien burbujas dorsales encima del higado, pegado al fundus
Proyecciones con haz horizontal
LL + haz horizontal
VD + haz horizontal
(F– marcados en imagen.)
TC ABDOMEN – INDICACIONES
- Alteraciones congénitas
- Trauma
- Alteraciones inflamatorias
- Neoplasias
- Alteraciones vasculares
- Valoración prequirúrgica
- Estadiaje oncológico
www.veterinaryradiology.net
www.diagnosticoveterinario.com
Mi mail: amunzuet@unizar.es




















































No comments to display
No comments to display