Tema 13 - Radiología de las extremidades - 20/1
Clase del 20/1 Presentación
Las fracturas son el problema mas comun en extermidades. Para diferenciar en animales jovenes una fractura de linea de crecimiento podemos compararla con la otra extermidad. En general, el tercio posterior tiene aproximadamente el doble de incidencia en cuanto a fracturas que el anterior.
Ademas del powerpoint esta un documento escrito con información extra en extermidades posteriores, en anteriores solo lo del PowerPoint. Yo he rellenado con ambas cosas
Extermidad anterior
Escapula:
Hueso plano y protegido por musculos, fracturas son poco comunes. Si se dan suelen ser en la zona del cuello, longitudinales afectando a la espina o en la cavidad glenoidea. En cachorros mas comun por linea de crecimiento en el tuberculo de la escapula

Neoplasias (Condrosarcoma y a veces osteosarcoma) son mas comunes. Neoplasias:



Hombro:
Luxaciones lo mas común (Puede ser congénita y traumática). Puede haber Osteocondritis disecante, Fracturas o EDA (Enfermedad Degenerativa Articular)


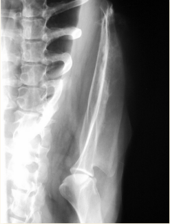
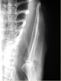
Humero:
Fracturas es lo mas comun, sobre todo en espiral. Pueden tener lesiones neuronales recuperables



Los sarcomas aparecen lejos del codo en extermidades anteriores y cerca de la rodilla en extermidades posteriores.
Las neoplasias sueln ser en la zona proximal del humero

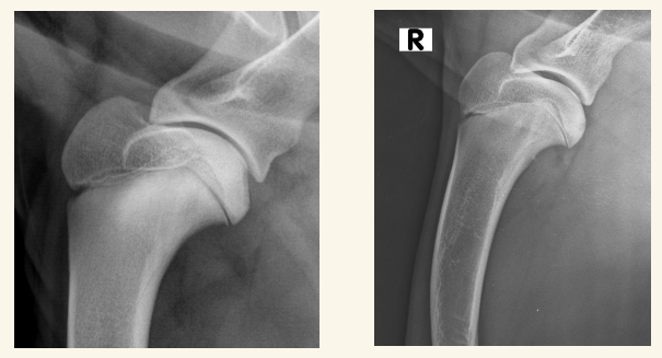
Codo
El condilo medial es mas fuerte que el lateral. Se dan fracciones en T o en Y. Luxacicones son mas dificiles que en codo
Existe la displasia del codo
- FCM: Fragmentación del Coronoides Medial, una de las lesiones típicas de displasia de codo
- NUPA: No Unión del Proceso Anconeo
- OCD: Osteocondritis disecante del condilo medial
- Incongruencia, mala articulacion de los 3 huesos.
- Se suele ver esclerosis subcondral que es la presencia de distinta densidad en el hueso bajo la articulación
Carpo
Problemas mas comunes:
- Hiperextensión o hiperflexión (Estrés)
- Luxación o subluxación
- Fracturas
- Malformaciones
IMPORTANTE, CAE EN EXAMEN: En carpo y taso hay que hacer proyecciones de estres (empujar los dedos para ver como se comporta bajo estrés) para valorar los los ligamentos colaterales
Metacarpo
Si la fractura es solo de uno o dos huesos,se puede sellar solo Sindactilia si faltan huesos
Problemas mas comunes:
- Proyecciones: ML, CdCr
- Fracturas
- Luxación o subluxación
- Sesamoideos múltiples o fragmentados
- Neoplasias: carcinoma de células escamosas, melanoma maligno
Extermidad posterior:
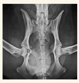
Pelvis
Fracturas y neoplasias lo mas comun. Hacer proyecciones LL, VD y Obliqua

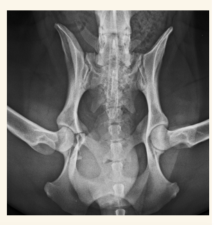
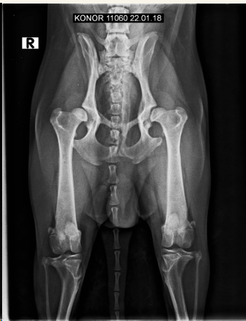
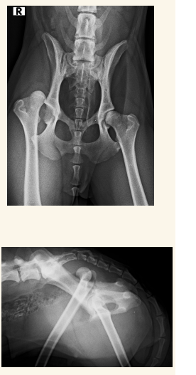
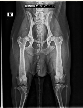
Cadera
En general se hacen proyecciones:
- Ventro-dorsal: Extender extermidades y traccionar, sin rotación axial, paralelas a la mesa, buscamos que la rotula se superponga con el surco troclear. Posicion de rana si es una fractura pelvica
- Latero-Lateral: Esponja de gomaespuma entre rodillas, estirar extermidades posteriores a caudal
Problemas mas comunes:
- Displasia
- Luxación sacroilíaca
- Luxación coxo-femoral
- Fracturas articulares
- Necrosis avascular de la cabeza femoral
- Fracturas pélvicas (generalmente múltiples y afectan a tejido blanco coetáneo)
- Necrosis avascular de la cabeza femoral (Enf. de Legg-Calvé-Perthes) IMPORTANTE, LO SUELE PREGUNTAR
Displasia de cadera:
- Más en perro que en gato
- Pasa de Laxitud articular a subluxación a EDA secundaria
- Incluir la pelvis, femur y rotulas en radiografia.
- Signos radiográficos típicos según el grado ( A---E ) Siendo A un animal sano y E una enfermedad muy avanzada
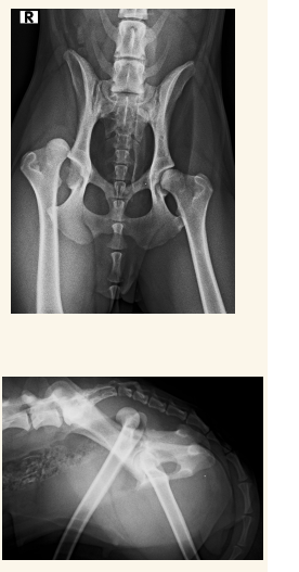
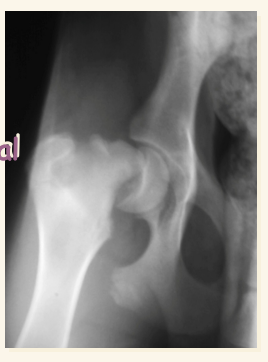
Luxación Coxo-femoral
- Por traumatismo, a veces leve si existe Displasia. Suele aparecer con fracturas de pelvis, uni o bilateral
- Normalmente cráneo-dorsal, aunque puede ser dorsal, ventral, caudal (rara) o intrapélvica
- Mejor 2 proyecciones pero en VD se ve mejor (ilion desplazado, mayor tamaño articular, perdida de contorno liso)
- Tambien hay luxacion sacro iliaca.
- Hay que ver la direccion de la luxacion. La mas frecuente es craneo-dorsal pero hay mas.
Articulares
Problemas mas comunes:
- Fisaria
- Intracapsular del cuello femoral
- Acetabulares
- Cuidado con la reducción aparente
La rotura del ligamento cruzado anterior se ve siempre el desplazamiento de la tibia, patognomonico El primer signo es el derrame, en vez de ver color oscuro vemos zona mas radioopaca, gris
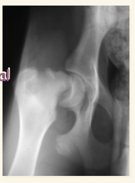
Necrosis avascular CF o Enfermedad de Legg-Calve-Perthes LO SUELE PREGUNTAR
- En cachorros de razas pequeñas
- Por defecto de vascularizacion de la cabeza y cuello femorales, cojera sobre todo en frio.
- Areas de radiolucidez en cabeza de fémur
- Deformación cabeza y cuello, se pierde siluheta de la cabeza del femur
- Muy dolorosa generalmente y con atrofia muscular
- Exéresis de CCF (cabeza y cuello femoral)
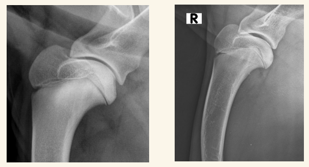
Rodilla
Proyecciones Media-Lateral y Caudo-Craneal o Craneal-Caudal con rodilla en posición neutra y cuña debajo del tarso para evitar rotación. Centrar en cóndilo femoral, en distal.
Hacer también proyecciones en estrés (ligamentos)
Cosas que podemos ver:
- EDA: Enfermedad Degenerativa Articular
- Avulsión tuberosidad tibial en jovenes
- Luxación rotuliana: Por rotura del ligamento rotuliano, del LCA o los ligamentos colaterales.
- Luxación medial de rótula se da más en toys o pequeños
- Luxación lateral más en medianas, grandes o gigantes.
- Rotura del ligamento rotuliano
- Rotura del LCA o Ligamento cruzado anterior: TAMBIEN SE VE DERRAME ROTULIANO y desplazamiento de la tibia
- Rotura de LColaterales
- OCD: Osteocondritis disecante del condilo medial en perros grandes y jovenes, medial o lateral y con EDA secundaria
- Fracturas
- En cachorros muy comun las fracturas de rodilla en lineas de crecimiento en la meseta tibial
- Recordemos que osteosarcomas, lejos del codo y cerca de la rodilla. Entonces en la rodilla veremos muchos pero NO SUELEN PASAR LAS ARTICULACIONES, por ejemplo, si hay en tibia, lo normal es que no salte a femur
Enfermedad degenerativa articular o DEA
- Por inestabilidad o secundaria a traumatismos. Hay deformaiones congenitas o por artritis infeciosa o inmunomediada
- El primer signo radiológico es el derrame, se pierde radiolucidez en tejido entre articulaciones (Disminución de la almohadilla grasa subrotuliana) , se ve gris en vez de negro bajo la rótula
- Otros signos posteriores de artrosis son alteraciones en:
- Distal-proximal de rotula (posicion)
- Fabelas: Huesos sesamoideos caudales al fémur
- Meseta tibial, fosa intercondilea, etc
- Osteofitos periartriculares
Tarso
Proyecciones ML y CdCr ó CrCd
Posibles problemas:
- Fracturas: Del maleolo, huesos tarsales, o tuberosidad del calcaneo. Se puede romper el calcaneo por estres al ligamento sobre todo, por su rotura por ejemplo. Si es antigua se ve calcificacion, si es antigua, solo inflamación
- Luxaciones
- Subluxacion Intertarsal: Escalon entre huesos centrales del tarso y articulacion con tibia, inflamacion del ligamento
- Problemas e shetland sheep dog. Puede haber cojera NO dolorosa con apoyo plantigrado
- Subluxacion tarso-metatarsiana: Esta SI produce dolor, inflamacion y cojera.
- Hiperextension, posbles fracturas proximales en metatarso. Radiografia en estres si se sospecha daño al ligamento
- Hiperextension o hiperflexion
- Recordad que cada hueso del tarso articulan, por tanto son susceptibles de tener enfermedades degenerativas musculares o EDA.
- Si lo atropellan pero frenan hay fracturas por abrasion, se come parte del hueso por arrastre. Se liman los huesos





































No comments to display
No comments to display