Tema 5 - Torax 1: Radiología, endoscopia y TC del abdomen - 7/10
Clase del 7/10 por Amaia Unzueta Presentación
Radiología del tórax. ADD
DIAGNÓSTICO POR IMAGEN
Amaia Unzueta
amunzuet@unizar.es
EXPLORACIÓN DEL TÓRAX
- RADIOLOGÍA Rapida, accesible, no siempre necesita anestesia general
- TOMOGRAFÍA COMPUTERIZADA Nos da mas información que una radiografia, mas cara y necesita anestesia general
- ECOGRAFÍA: Sin anestesia, mejor analisis del corazon, no tan util en pulmon
APLICACIONES DEL TC
- Siempre empezamos por una radiografia, ya luego tomogrofia o TC (Al ser mas caro y siendo generalmenta la mayoria de problemas diagnosticables con radiografia)
- Exploraciones radiográficas inconcluyentes.
- Ampliar información de estudios radiográficos.
- Diferenciar entre lesión mediastínica, pulmonar, pleural o pared torácica.
- Detectar metástasis de pequeño tamaño o tromboembolismos pulmonares.
- Evaluar la lesión previo a cirugía.
- Toma de biopsias guiada.
ASPECTOS TÉCNICOS GENERALES
- Número de radiografías: como mínimo dos perpendiculares.
- Proyecciones: LL LateroLateral y DV/VD DentroVentral o VentroDorsal.
- Centrado: a nivel del corazón.
- Márgenes: entrada de tórax hasta primera porción de abdomen.
- Parámetros: alto kV / bajo mAs.
- Disparo: pico máximo de inspiración.
- Visualización:
- LL: la cabeza del paciente a la izquierda del observador.
- DV/VD: lado izquierdo del paciente a la derecha del observador.
INSPIRACIÓN Y ESPIRACIÓN
Inspiración:
- Diafragma por detrás de T11.
- Aumenta la distancia entre silueta cardíaca y diafragma.
- Los lóbulos pulmonares parecen mayores.
- Los pulmones parecen más radiolúcidos.
Espiración:
- Diafragma por delante de T11.
- Diafragma y silueta cardíaca más próximos.
- Los pulmones parecen más radioopacos.
Disparo: pico de máxima inspiración.
IMPORTANTE - Por convenio siempre se tienen que visualizar las radiografia con la cabeza a la izquierda en laterolateral y cuando hago una DV o VD siempre tiene que estar el lado derecho de la radiografia a la izquierda de quien lo ve y el lado izquierdo a la derecha del visualizador
REVISIÓN SISTEMÁTICA DEL TÓRAX
Estructuras extratorácicas:
- Tejido blando, columna torácica, esternón, costillas.
Estructuras intratorácicas:
- Mediastino, pulmones, cavidad pleural, diafragma.
Signos de Röentgen: tamaño, forma, márgenes, opacidad, número, posición.
Orden de exploración de las estructuras extratorácicas
1. Pared torácica
- Tejido subcutáneo y piel deben visualizarse como opacidad homogénea de grosor uniforme.
- Gas (enfisema), mineralizaciones.
- Engrosamiento de piel: traumatismo, cuerpos extraños, hematoma, absceso o neoplasia.
2. Costillas
- Trece pares, simétricas, densidad homogénea.
- En animales geriátricos, uniones costocondrales con mineralizaciones irregulares (“formaciones en roseta”).
- Alteraciones: fracturas o neoplasias.
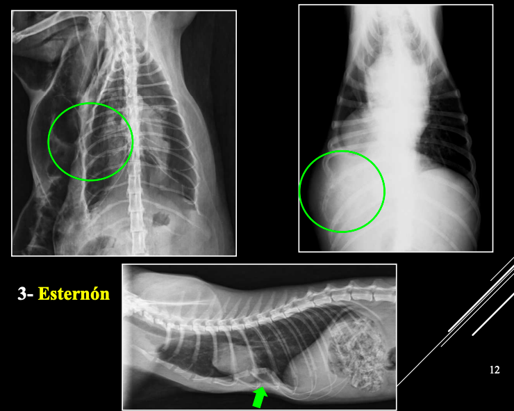
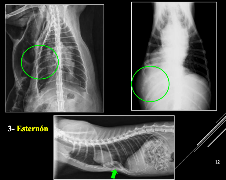
3. Esternón
- Escasas alteraciones significativas.
- Posibles: neoplasias, infección, pectus excavatum (Problemas aspiratorios, puede ser congenita) o pectus perinatum (poco frecuentes, perinatum aun menos)
Cosas que podemos ver:
- Engrosamientos
- Mineralizaciones
- extravasión de aire
- Masas (Dificil de decir si es hematoma, abceso, cuerpo extraño o neoplasia)
- Hipoplasia o aplasia de la decimotercera costilla.
- En geriatricos uniones condrocostales mineralizadas.(Formaciones en roseta)
- Fracturas
- Lisis osea por neoplasia o infección
ESTRUCTURAS INTRATORÁCICAS
- Mediastino
- Pulmones
- Cavidad pleural
- Diafragma
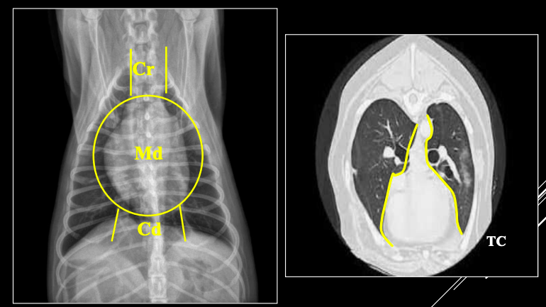
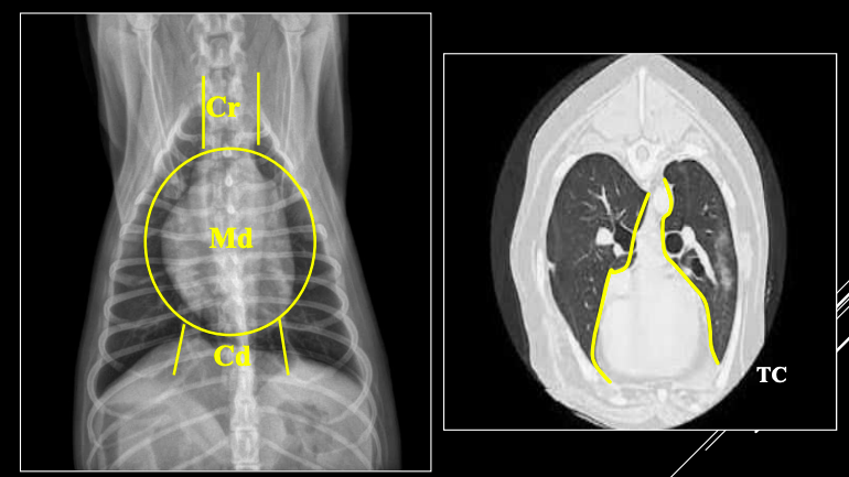
El mediastino es el espacio medio de la caja torácica, situado entre las pleuras mediastínicas. Importante
PARTES DEL MEDIASTINO
- Craneal (Cr): Nervios, nodulos linfaticos, vasos (Arteria subclavia izquierda, tronco braquicefalico, vena cava craneal, vena acigos...)
- Medio (Md)
- Caudal (Cd)
Órganos mediastínicos visibles:
- Esófago (a veces), timo (jóvenes), tráquea, corazón, aorta, VCC.
Órganos no visibles:
- Vasos (A. subclavia izda., tronco braquiocefálico, V. cava craneal, V. ácigos).
- Nervios.
- Nódulos linfáticos.
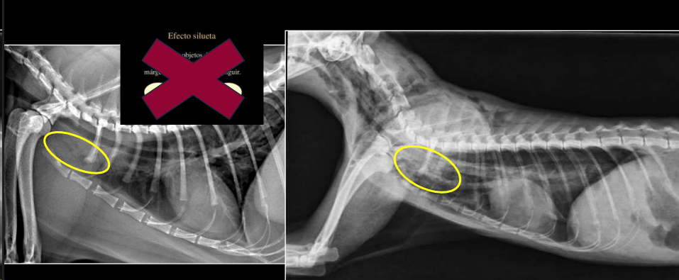
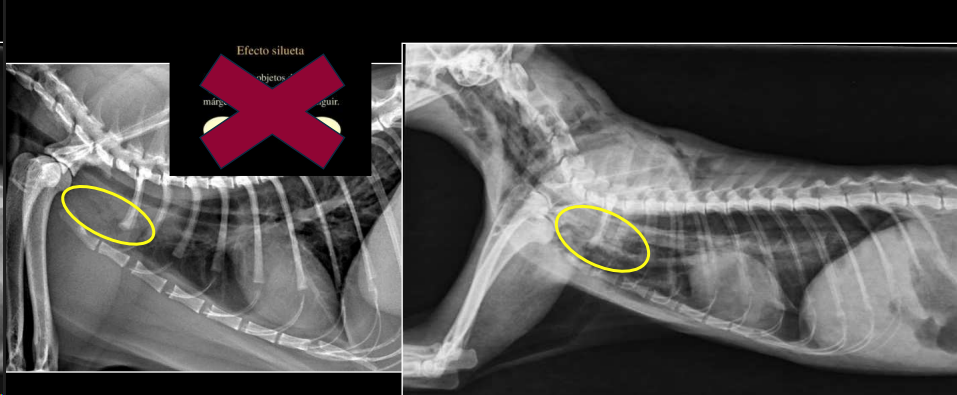
Efecto silhueta: cuando dos objetos de la misma densidad están en contacto, sus margenes no se pueden distinguir. No los distinguimos, los valoramos en grupo, buscamos cambios de tamaño, opacidad o de tamaño
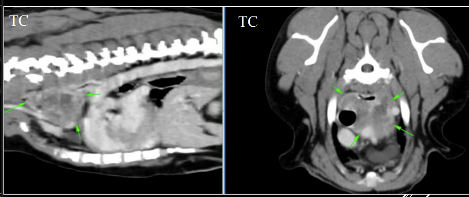
NÓDULOS LINFÁTICOS MEDIASTÍNICOS
- Mediastínicos craneales.
- Esternales.
- Traqueobronquiales.
Craneales: su aumento desplaza dorsalmente la tráquea (proyección LL).
Esternales: dorsal a la 2ª esternebra. Se ven muy bien
Traqueobronquiales: tres ganglios (derecho, izquierdo, medio) a nivel de la carina. Se ve algo peor
Timo
- LL: Solo se ve como una linea de tejido blando (hiperecoica) craneal al corazón
- VD: Ala de barco craneal y a la izquierda del corazón


Clase del 14/10 - Pagina 28
ALTERACIONES MEDIASTÍNICAS
- Alteraciones de posición del mediastino (Desplazamiento mediastino VD)
- Alteraciones en la visualización de estructuras mediastinicas (Neumomediastino LL)
- Alteraciones de la anchura del mediastino (Derrame mediastinico o masa mediastinica VD)
1. Desplazamientos
- Artefacto (rotación): desplazamiento no real. Si se ve el esternon está mal
- Por enfermedad pleural (neumotórax): desplazamiento no real.
- Masa mediastínica: desplazamiento real.
2. Neumomediastino
- Aire en mediastino craneoventral.
- Mayor visualización de estructuras mediastínicas en vez de ver efecto masa en la zona mediastinica craneal, presencia de negros en la zona craneal y mejor visualización de vasos y traquea.
- Enfisemas subcutaneos suelen ocurrir, quedando aire entre las fascias y subcutaneo. Incluso puede pasar a la cavidad abdominal.
- “Tracheal stripe sign”.
- Puede coexistir con enfisema subcutáneo, neumotórax o neumoretroperitoneo.
- Generalmente por rotura traqueal (A veces por rotura esofágica)
- Es la unica forma de diagnosticar un neumodiastino.
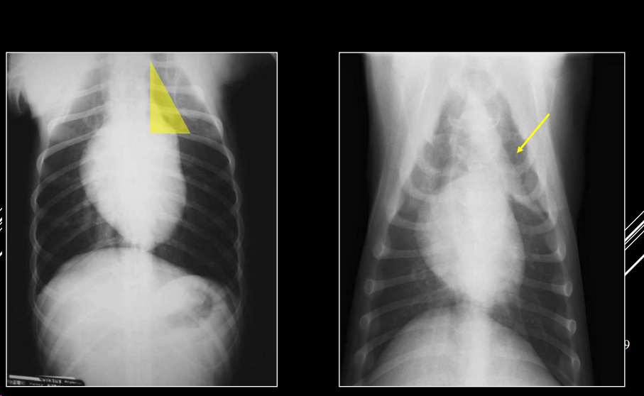
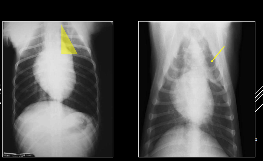
3. Alteraciones de anchura del mediastino craneal
- En perros: anchura < 2x VT.
- En gatos: anchura ≈ VT.
- En braquicéfalos/obesos puede verse mayor (grasa mediastínica).
- Generalmente en gatos es por un linfoma.
Causas:
- Derrame mediastínico.
- Masas mediastínicas (craneodorsales, hilares, caudodorsales, caudoventrales, craneoventrales).
- Linfomas en gato, timomas en perros.
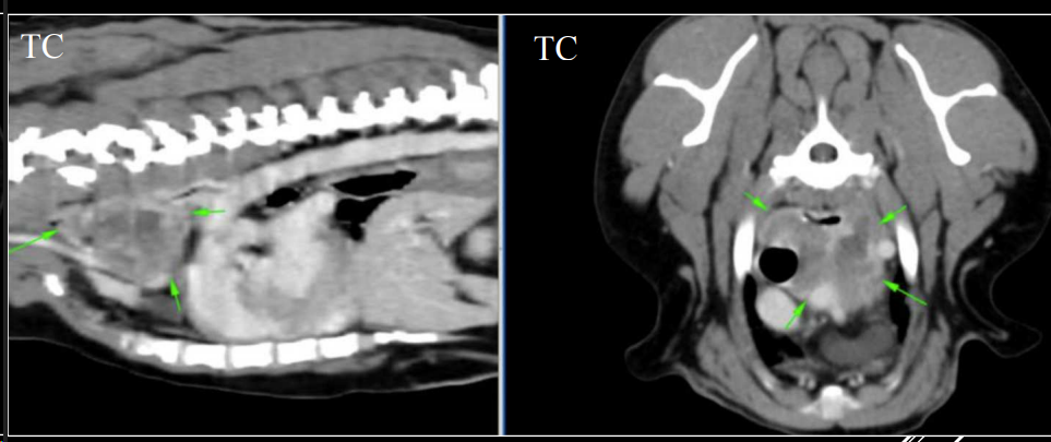
CLASIFICACIÓN DE MASAS MEDIASTÍNICAS
-
Craneodorsales: alteraciones esofágicas, aneurisma aórtico, hematoma, tumor base cardíaca/neurogénico, absceso, granuloma, lesión vertebral.
-
Desplazamiento traqueal ventral por neumoesofago
-
Desplazamiento traqueal dorsal por masa en el mediastino craneal



-
Hiliares/Perihiliares: alteraciones esofágicas, tumor base cardiaca, linfoadenopatía traqueobronquial, masa tiroidea ectópica.
-
Masa de opacidad tejido blando que desplaza la traquea y la bifurcación bronquial.
-
Puede ser por los nodulos parabronquiales, esofagico o por masa en el pulmón


-
Caudodorsales: hernia paraesofágica, tumores neurogénicos, granulomas.
Clase del 14/10
-
Craneoventrales: linfoma, timoma, tumor tiroideo, histiocitosis, lipoma, fibrosarcoma, linfoadenopatía esternal o craneal, absceso, aneurisma auricular.



SILUETA CARDÍACA
Proyecciones: laterolateral derecha y dorsoventral.
En proyección ventrodorsal: magnificación cardíaca.
En lateral izquierda: falsa forma redondeada.
Tamaño del corazón (perro):
- 2,5–3,5 espacios intercostales (según raza, respiración, obesidad, ciclo cardíaco).
Índice de Buchanan (VHS):
- Eje A: bifurcación traqueal → ápex cardíaco.
- Eje B: perpendicular, medida craneocaudal.
- Referencia: 4ª vértebra torácica.
- Normalidad:
- Perro: 8,5–10,5
- Gato: <8,5
POSICIÓN DE CÁMARAS Y GRANDES VASOS (“analogía del reloj”)
Se puede comparar la silueta cardíaca con la esfera de un reloj <analogía del reloj=,utilizando los intervalos horarios para la localización de las cámaras cardíacas y de los grandes vasos.
Proyección DV:
- 11–1: arco aórtico.
- 1–2: arteria pulmonar.
- 2–3: orejuela AI.
- 3–5: ventrículo izdo.
- 5–9: ventrículo dcho.
- 9–11: aurícula dcha.
Proyección LL:
- Craneodorsal: aorta y atrio derecho.
- Craneoventral: ventrículo derecho.
- Caudodorsal: atrio izquierdo.
- Caudoventral: ventrículo izquierdo.
ALTERACIONES DE CÁMARAS CARDÍACAS
- AI: elevación dorsal tráquea, protusión 2–3 h (DV).
- AD: desplazamiento dorsal tráquea, protusión 9–11 h.
- VI: incremento altura silueta, protusión 3–5 h (DV).
- VD: forma “D invertida”, aumento cardioesternal.
- Pericardio: distensión → silueta globosa, puede contactar bilateralmente con márgenes costales.
GRANDES VASOS
- Aorta: diámetro ≈ altura de cuerpos vertebrales torácicos.
- Tronco pulmonar:
- Perros: visible DV (1–2 h).
- Gatos: usualmente no visible.
- Vena cava caudal: diámetro ≈ aorta.
VÍAS AÉREAS
Estructuras: laringe, tráquea, pulmón.
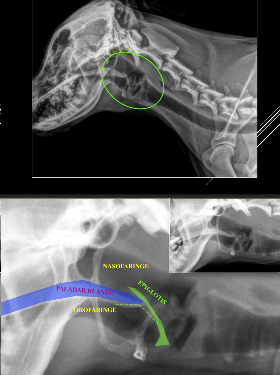
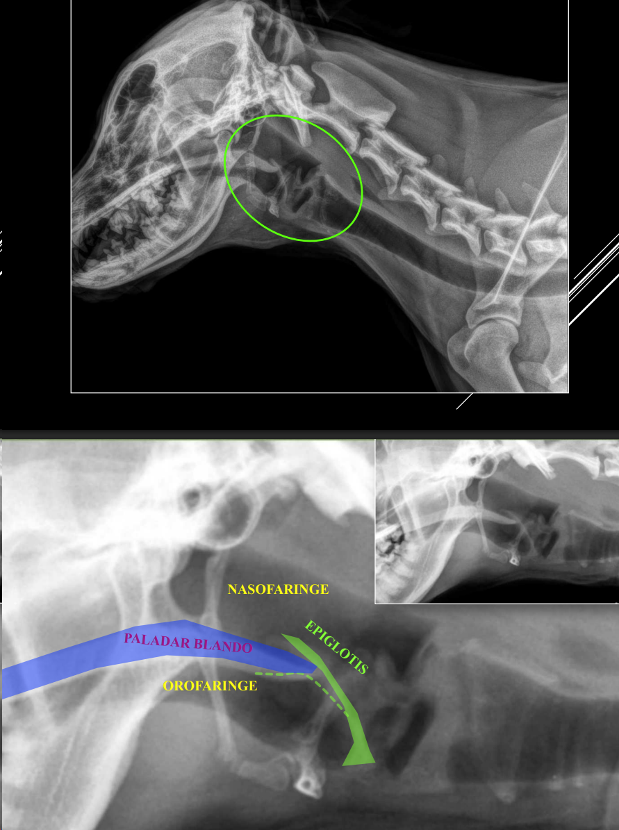
LARINGE
- Proyección LL, cabeza normal.
- Visible ventral a C1–C2.
- Estructuras: epiglotis, paladar blando, cartílagos hioideos.
- Patologías: engrosamiento, elongación, neoplasias, cuerpos extraños.
- Relevancia en razas braquicéfalas.
HUESOS HIOIDEOS
- Pocas alteraciones radiográficas.
- Fracturas, luxaciones, neoplasias.
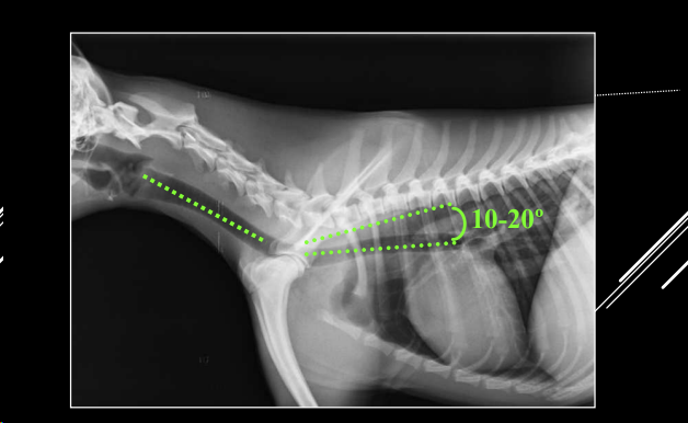
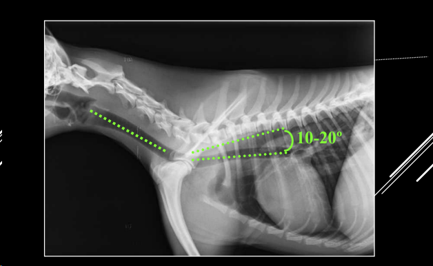
TRÁQUEA
- Proyección LL.
- Cabeza y cuello rectos (evitar hiperextensión).
- Divergencia 10–20° con raquis torácico.

Alteraciones detectables:
- Desplazamientos (dorsal o ventral).
- Dorsal: cardiomegalia, masa craneoventral.
- Ventral: dilatación esofágica, masa craneodorsal.
- Alteraciones del diámetro:
- Índice A/B = 0,2 (Bulldog ≥ 0,09).
- Hipoplasia traqueal: disminución generalizada del diámetro (congénita, braquicéfalos).
- Colapso traqueal: deformación de cartílagos, “tos de ganso”, inspiratorio, espiratorio o mixto. en razas toy. Degenerativa y progresiva
- Fase inspiratoria T11 se ve, no se tapa por diafragma





- Otras: neoplasia, perforación. Las roturas de traquea son comunes, perforaciones no.
clase del
PULMONES
Parámetros técnicos:
- Exposición corta, alto kV.
- Fase inspiratoria.
- Proyecciones LL y VD.
- izquierdo 2 lobulos, derecho 4 de normal no se ve mucho. solo se ven los bronquios en patologías
PATRÓN NORMAL
- Opacidad baja (aire en bronquios, bronquiolos, alveolos).
- Vasos visibles como líneas ramificadas.
PATRONES PULMONARES ANORMALES
- Bronquial
- Intersticial:
a) Difuso o reticular
b) Estructurado o nodular - Alveolar
- Vascular
PATRÓN BRONQUIAL
- Visualización de paredes bronquiales (“donuts”, “rail de tren”).
- NO ENTRA IDENTIFICAR PATRONES BRONQUIALES
- Causas: engrosamiento, mineralización o infiltrados peribronquiales. Tipoca en gatos con asma
- Enfermedades: bronquitis crónica, neoplasias.
- Bronquiectasia: dilataciones saculares irreversibles.
PATRÓN INTERSTICIAL
Nodular/Estructurado:
- Opacidades redondeadas (“miliar”, “nodular”, “masa”). A veces se puede confundir el patron miliar con calcificaciones (ocurren en pacientes mayores) pero estos tienen una mayor cantidad de radioopacidad al ser casi hueso.
- No confundir con patron miliar con los vasos transversales. Mas comunes cerca de la aorta, menos comun en la periferia del pulmon.
- patron heterogeneo de blancos y negros.
- Causas: metástasis, abscesos, tumores, granulomas.
- Se puede clasificar en estructurado o nodular y no estructurado o reticular.
Difuso/Reticular:
- Aumento lineal o reticular de opacidad.
- Causas: edema, neumonía, hemorragia, fibrosis (Comun en westies), linfosarcoma, leptospirosis, vasculitis.
PATRÓN ALVEOLAR
- Opacidad homogénea.
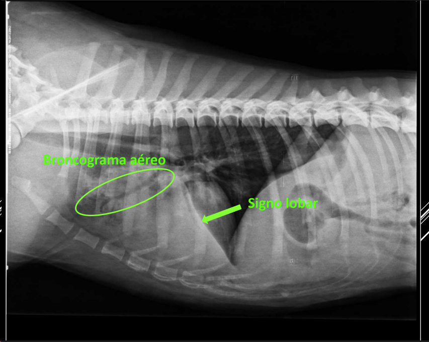
- Broncogramas aéreos visibles (patognomónicos).
- Signo lobar (borde visible entre lóbulos) cuando hay un lobulo sano y otro que no lo está.
- Patognomonico de patron alveolar cuando vemos los bronquios oscuros alrededor de blanco. No siempre ocurre (cuando hay moco no se ocurre) se llama broncograma aereo.
Por consolidación: edema, neumonía, hemorragia, neoplasia.
Por atelectasia: obstrucción, compresión, neumotórax, efusión pleural.
PATRÓN VASCULAR
- Cambios en tamaño, densidad o forma de vasos.
- Arteria y vena lobulares craneales del mismo tamaño.
- Comparación: grosor ≈ 4ª costilla (LL) o 9ª costilla (VD).
- Hipervascular o hipovascular.
- Posible mineralización (uremia, filariosis).
- Tortuosidad o cortes bruscos en arterias pulmonares → filariosis.
CAVIDAD PLEURAL
Normalmente: pequeño volumen de líquido lubricante.

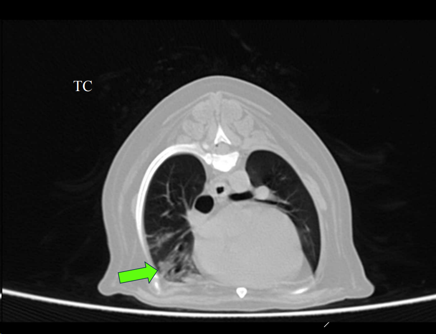
Derrame pleural
- Líquido en espacio pleural (uni/bilateral).
- RX:
Neumotórax
Si hay un neumotorax y neuromediastino, el neumomediastino siempre es el causante
- Aire en cavidad pleural.
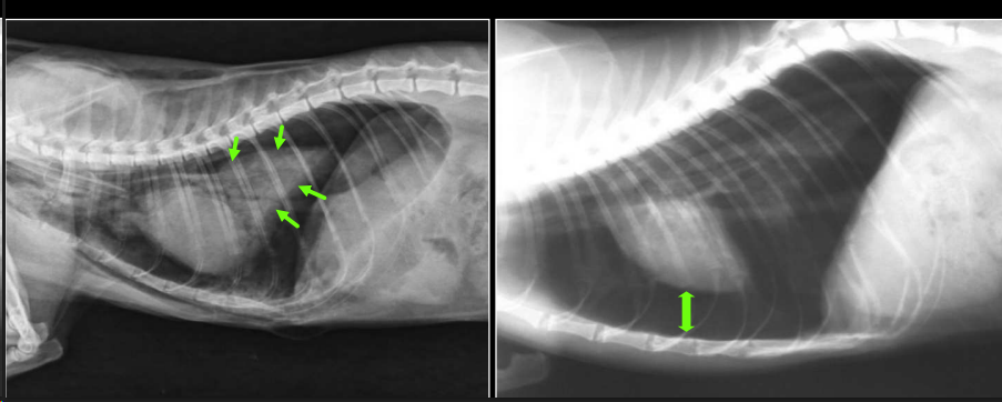
- RX:
- Desplazamiento dorsal del corazón (LL).
- Colapso pulmonar.
- Trama pulmonar no llega a pared torácica.
- Espacio radiolúcido entre pulmón y pared.
Cuando hay un neumotorax, al retraerse el pulmon se presentara un patron alveolar. Si el aire puede ir a ambos lados las presiones se compensan, anotensión. Si solo entra y no sale aumentara la presion y tendremos un neumotorax atensión












































































No comments to display
No comments to display