Tema 7 - Ecografía abdominal
ECOGRAFÍA ABDOMINAL
ÍNDICE
- INTRODUCCIÓN
- URINARIO
- VEJIGA Y URETRA
- RIÑONES Y URÉTERES
- BAZO
- HÍGADO Y VESÍCULA BILILAR
- PÁNCREAS
DIGESTIVO
- ESTÓMAGO
- INTESTINO DELGADO
- INTESTINO GRUESO
- GLÁNDULAS ADRENALES
- LINFONODOS Y GRANDES VASOS
- PATRÓN ECOGRÁFICO
- FISIOLÓGICO
- APROXIMACIÓN PATOLÓGICA
ESQUEMA GENERAL
INTRODUCCIÓN
-
¿Qué es la ecografía abodminal?
Técnica de diagnóstico por imagen basada en ondas de ultrasonido.
Permite la evaluación en tiempo real de órganos abdominales.
Es no invasiva, segura y ampliamente disponible en la práctica veterinaria.
Aplicable en pequeños animales, équidos y animales exóticos. -
¿Cuándo está indicada una ecografía abdominal?
Alteraciones en pruebas de laboratorio que sugieran enfermedad abdominal (alteraciones hepáticas, renales, pancreáticas).
Signos clínicos compatibles: dolor abdominal, distensión, vómitos, diarrea crónica, hematoquecia, hematemesis, PU/PD.
Como parte de un descarte de metástasis
Sospecha de urolitiasis, hidronefrosis o enfermedades del tracto urinario.
Seguimiento de hallazgos ecográficos previos o de enfermedades crónicas conocidas.
Control de gestación o sospecha de patología en el aparato reproductor -
Objetivos principales
Evaluar anatomía y características morfológicas: tamaño, forma, contornos y ecogenicidad de órganos (hígado, bazo, riñones, páncreas, tracto gastrointestinal, sistema urinario, sistema reproductor, etc).
Detectar cambios patológicos: masas, quistes, cálculos, infiltraciones, necrosis, fibrosis, inflamación, dilataciones.
Identificar líquido libre peritoneal, derrames locales o generalizados.
Monitorización y seguimiento: evolución de lesiones, respuesta a tratamientos, progresión de enfermedades sistémicas.
Guiar procedimientos intervencionistas: punción aspiración (FNA), biopsias ecoguiadas, drenajes.
Preparación del paciente
- Ayuno
- Control del vaciado vesical
- Rasurado / depilado del área
- Posicionamiento e inmovilización
- Comunicación con el clínico / solicitud precisa
-
Ayuno
Generalmente 6-8-12 horas sin ingestión de alimentos para reducir el contenido gastrointestinal y los artefactos por gas.
En algunos casos se restringe también el consumo de agua, dependiendo de la zona a evaluar.
El ayuno mejora la ventana acústica y reduce las interferencias. -
Control del vaciado vesical
Vejiga esté moderadamente llena.
3-6 horas antes del examen.
En pacientes muy ansiosos o con dificultad para contenerse
Fluidoterapia o sondaje. -
Rasurado del abdomen
Rasurado amplio. Flanco lateral derecho.
Usar Gel de ecografía / alcohol -
Pruebas
laboratoriales
Anamnesis Examen físico
Otras pruebas
de imagen
Citología e
histopatología
Ecografía
Caso clínico -
Equipo
-
- Sondas microconvex de frecuencias medias-altas
- Sondas lineales frecuencias altas
Estudio ecográfico
- Ubicación. Relaciones anatómicas normales
- Tamaño
- Ecogenicidad.
Hiperecogénico
Hipoecogénico - Ecotextura.
Homogeneo
Heterogeneo - Ecoarquitectura.
- Estructuras anatómicas
Paredes
Parénquima
contenido
URINARIO
VEJIGA Y URETRA
PATRÓN ECOGRÁFICO NORMAL
-
Morfología
Saco en forma de pera -
Pared
Lisa, contorno regular
capa serosa. hiperecoica
capa muscular. hipoecoica
capa mucosa. hiperecoica -
Contenido
Patrón anecoico.
excepto en gatos enteros
hembras preñadas/sobrepeso -
Estructuras
Cuerpo y cuello de la vejiga
trígono vesical
uretra -
Jet ureteral
-
Adecuadamente distendida
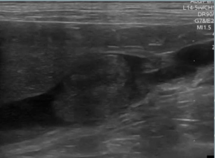
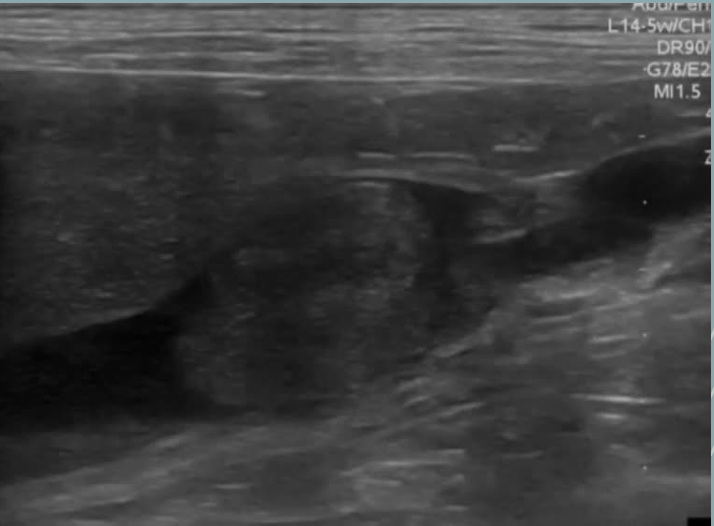
IMÁGENES PATOLÓGICAS (textos aparecidos)
- Engrosamiento parietal
- Engrosamiento parietal y cálculo vesical
- Cistitis crónica
- tumor de cuello vesical
- Neoplasia Doppler
- Coágulo Doppler
RIÑONES Y URÉTERES
PATRÓN ECOGRÁFICO NORMAL
-
Morfología
Ovalada (haba)
Superficie lisa y regular. cápsula hiperecogénica -
Estructuras
Cortical renal
Médula renal
Septos o columnas renales
Pelvis renal
Hileo renal
vena, arteria y uréter
ECOGENICIDAD
- Bazo > Hígado ≥ Corteza renal
- Hiperecogénico ---> hipoecogénico
Localizaciones anotadas en documento:
- Riñón Izquierdo
- Bazo
- Hígado
- Riñón derecho
IMÁGENES PATOLÓGICAS (textos aparecidos)
- Nefrolitiasis
- Quiste cortical
- Infarto renal
- Hidronefrosis
BAZO
PATRÓN ECOGRÁFICO NORMAL
-
Localización
Flanco izquierdo
Hasta línea media o mas allá
Más pequeño en gatos -
Bordes y cápsula
Bordes lisos, contorno regular.
Cápsula hiperecogénica -
Ecogenicidad y ecotextura
Hiperecogénico respecto al hígado
Ecotextura granulado fino -
Ecoarquitectura
Cabeza
Cuerpo
Cola
Hilio esplénico
IMÁGENES PATOLÓGICAS (textos aparecidos)
- Ecotextura heterogenea.
Patrón moteado - Linfosarcoma
- Hematoma
HÍGADO Y VESÍCULA BILIAR
PATRÓN ECOGRÁFICO NORMAL
-
Localización. Bajo el arco costal
-
Abordaje ventral. Xifoides.
-
Abordaje lateral derecho
-
Bordes lisos y afilados, contorno regular.
-
Hipoecogénico respecto al bazo
-
Ecotextura granulado algo más grueso que la del bazo
-
Ecoarquitectura
Parénquima
Árbol vascular
Vesícula biliar
Ecoarquitectura (detalles)
- Parénquima.
- Árbol vascular
- Venas hepáticas
- Venas portales. Paredes hiperecogénicas
- Arterias hepáticas. No se visualizan.
- Sistema biliar.
Vesícula Biliar
Conducto cístico
Conducto biliar común. No en perro
Vías biliares intrahepáticas. No se visualizan
IMÁGENES PATOLÓGICAS (textos aparecidos)
- Masa ecogenicidad mixta
- Metástasis en hígado por un hemangiosarcoma en Bazo
- Colecistitis por una colelitiasis
PÁNCREAS
PATRÓN ECOGRÁFICO NORMAL / CONSIDERACIONES
-
Consideraciones previas
Importante el ayuno
Anatomía inconstante
Si hay patología puede ser doloroso -
Localización
Rama izquierda. Curvatura mayor estómago
Rama derecha. Borde mesentérico duodeno -
Ecogenicidad.
Similar a la del hígado
Hipoecogénica/isoecogénica peripancreática -
Estructura
moderadamente hipoecogénico -
Vasculatura y conducto
Vena pancreatoduodenal
Conducto pancreático a delgada, bordes mal la grasa definidos (texto fragmentado)
IMÁGENES PATOLÓGICAS (texto aparecido)
- Pancreatitis Aguda
DIGESTIVO
PATRÓN ECOGRÁFICO NORMAL
-
Regiones
Estómago
Intestino delgado- duodeno
- yeyuno
- íleon
- válvula ileocecal
- ciego
colon - ascendente
- transverso
- descendente
-
Patrón de capas
Capa mucosa. Hipoecogénica.
Capa submucosa. Hiperecogénica
Capa muscular. Hipoecogénica.
Capa serosa. Hiperecogénica
El patrón es constante en todo el recorrido del tubo digestivo. -
Contenido
Patrón alimento. Estómago
Patrón líquido. Estómago y duodeno
Patrón mucoso. Duodeno yeyuno íleon
Patrón gas. Colon
Patrón heces. Colon
Regiones y patrones listados repetidamente en el documento:
- ESTÓMAGO — PATRÓN ECOGRÁFICO NORMAL
- DUODENO — PATRÓN ECOGRÁFICO NORMAL
- YEYUNO — PATRÓN ECOGRÁFICO NORMAL
- ÍLEON — PATRÓN ECOGRÁFICO NORMAL
- COLON — PATRÓN ECOGRÁFICO NORMAL
IMÁGENES PATOLÓGICAS (textos aparecidos)
- Intususcepción
- Pérdida de patrón de capas. Neoplasia.
- Enteropatía crónica. IBD/Linfoma intestinal Normal
- Enteropatía crónica. IBD/Linfoma intestinal Normal
- Gastritis
GLÁNDULAS ADRENALES
PATRÓN ECOGRÁFICO NORMAL
-
Localización anatómica
Adrenal izquierda
Medial al riñón izquierdo
Craneal a la arteria renal izq
Caudal a la mesentérica craneal
Adrenal derecha.
Medial al riñón derecho
Dorsal a la cava -
Descripción ecográfica. Estructuras definidas
Izquierda. "Forma cacahuete".
Derecha. Forma de "punta de flecha".
Gatos. Ambas son ovaladas.
Escotadura medial (arteria y vena)
Diferenciación córtico-medular. (no siempre)
Ecogenicidad similar a la renal
Hipoecogénicas respecto a grasa adyacente -
Medir su tamaño
Existen diferencias en función de la edad, y tamaño del paciente.
Siempre correlacionar el tamaño con pruebas analíticas de funcionalidad adrenal
IMÁGENES PATOLÓGICAS (textos aparecidos)
- Neoplasia adrenal
GRANDES VASOS Y LINFONODOS
PATRÓN ECOGRÁFICO NORMAL
-
Tres grandes vasos abdominales
Aorta- El vaso mas dorsal
- Posición central
Vena Cava Caudal - Más ventral
- A la derecha de la aorta
Vena Porta - Más ventral que la vena cava caudal
- Normalmente entre la v.cava y la aorta / ligeramente a la derecha de la v.cava.
-
LINFONODOS
Repartidos por le abdomen. Linfocentros
Morfología- fusiforme u ovalada (Ratio S/L)
- borde liso y regular
- diferenciación corticomedular
- tamaño no está estandarizado
Ecogenicidad uniforme. - Isoecogénicos o levemente hipoecogénicos respecto la grasa que los rodea
IMÁGENES PATOLÓGICAS (textos aparecidos)
Material audiovisual complementario
- www.youtube.com/@veterinarylibrary4298
- http://www.youtube.com/@alejandrocasasusecografiav4859
Bibliografía (lista incluida en el documento)
-
Penninck, D. G., & d’Anjou, M. A. (2015). Atlas of Small Animal Ultrasonography (2nd ed.). Wiley-Blackwell.
→ Uno de los atlas más completos y utilizados en diagnóstico por imagen de pequeños animales. -
Barr, F. J., & Gaschen, L. (2011). BSAVA Manual of Canine and Feline Ultrasonography. British Small Animal Veterinary Association.
→ Manual práctico con enfoque clínico, excelente para estudiantes y veterinarios en formación. -
Nyland, T. G., Mattoon, J. S., Wisner, E. R., & O’Brien, R. T. (2014). Small Animal Diagnostic Ultrasound (3rd ed.). Elsevier Saunders.
→ Texto de referencia clásico; cubre técnica, anatomía ecográfica y patologías frecuentes. -
Lamb, C. R. (2018). Veterinary Diagnostic Imaging: The Dog and Cat (2nd ed.). Elsevier.
→ Contiene capítulos detallados sobre ecografía abdominal y musculoesquelética. -
Reef, V. B. (Ed.). (1998). Equine Diagnostic Ultrasound. Saunders.
→ Referencia fundamental para la ecografía en equinos, con enfoque anatómico y clínico. -
Konde, L. J., & Bahr, R. J. (2001). Veterinary Ultrasonography: A Comprehensive Guide to Small Animal Ultrasonography. Mosby.
→ Buen texto base con orientación didáctica, útil para estudiantes. -
Mattoon, J. S., & Nyland, T. G. (2021). Textbook of Veterinary Diagnostic Radiology (8th ed.). Elsevier.
→ Aunque centrado en radiología, incluye capítulos actualizados sobre principios de ecografía y correlación imagenológica. -
Cartee, R. E. (2015). Clinical Sonography in Veterinary Medicine (2nd ed.). Wiley-Blackwell.
→ Excelente manual clínico con correlaciones entre hallazgos ecográficos y patología.



